ガタガタ前歯はマウスピースで治る?
桶川にある歯医者、アズ歯科桶川院の歯科医師、中村です。
歯ならびの矯正治療というと、どんなイメージでしょうか。
永久歯への生えかわりの小学生〜中学生くらいの子がワイヤーをつけて治療しているイメージが一般的かもしれません。
しかし、矯正治療の治療範囲はそれだけではありません。
大人が前歯にかぶせ物をする時にもとても有用な活用法があるのです。
それが、
前歯の部分矯正(MTM:Minor Tooth Movement)です。

以前、別の病院で上の前歯にかぶせ物を作る治療をしていた患者さんです。
上の前歯は仮歯になっており、
今後セラミックのかぶせ物を作る予定だけど、
何度調整しても上下の前歯の当たり方がしっくりこない、
というお悩みをお持ちでした。
見てみてどうでしょう。
下の前歯の歯ならびが悪いので、
上下の前歯の噛み合わせも悪くなっています。
これだとよく噛めないだけでなく、
当たり方が悪いと上の前歯が欠けてしまうおそれもあります。
また、前歯の噛み合わせに問題があると、
一見関係なさそうな奥歯の負担が増えて、奥歯にも悪い影響が出ることもあります。
以上のことをふまえて、
下の前歯の生えてる位置や向きを変えてしまおうという治療法が、
前歯の部分矯正なのです。

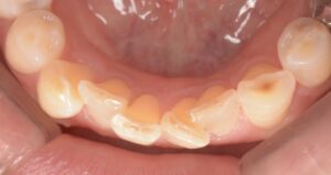
先ほど見た、下の前歯の歯ならびはこんな感じです。
斜めになって重なっているため、ところどころ前に飛び出ている部分があります。
ここが上の前歯に強く当たってしまうのです。
そこで、矯正用のマウスピースをはめて歯の位置を変えていきます。

すると、

重なりが解け、本来のきれいなアーチになりました。
飛び出ている部分もなく、これなら上の前歯に全体で均等に噛めそうです。

実際の噛み合わせはこんな感じです。
下の歯がまっすぐ生えているので、
噛んだ時に加わる力も理想的な方向で歯に伝わります。
治療の前後を見比べてみましょう。
治療前

治療後

いかがでしょうか。
上の前歯のかぶせ物にとっても、
噛んだ力が良い方向に加わることで、
欠けたりせず、長持ちさせることができるようになります。
この部分矯正は、半年ほどで治療ができます。
小学生がよくやっている歯ならびの矯正治療は、
顎骨の成長予測をしながら、お口の歯全体の位置を動かしていくため、
数年かかることが多いですが、
大人が前歯の重なりを少し治す程度の部分的な矯正治療であれば、
数ヶ月〜1年もかからないことが多いのです。
また、歯を動かす方法も、
ワイヤーではなく、マウスピースを使って行うことができます。

ご興味のある方は一度ご相談ください。
| 治療期間 | 6ヶ月 |
|---|---|
| 治療費 | ¥350,000 + tax |
| 治療のリスク | 矯正後に歯が後戻りしてしまう可能性がある |











