奥歯の痛みってどう治すの?

奥歯の痛みで来院されました。
その時のレントゲン写真です。
矢印の部分に炎症がありそうです。

被せ物を外してみました。
大きな虫歯があるようには見えませんが、一番奥の歯には亀裂が入っており、そこが炎症を起こしている原因であることがわかりました。

残念ですが、この歯は抜歯が必要な状況でした。

抜歯後、手前の歯の治療をしている時の写真です。

セメントをとっていくと虫歯になっていることがわかります。

虫歯の部分を削って、

土台となるようにコンポジットレジンという材料で形を盛り足します。

その上にプラスチックの仮歯をはめて、まずはこの状態で食事をしていただきます。
歯の神経の近くまで虫歯が及んでいたので、痛みなどの問題が出ないか経過をみるのです。

そのうちに奥の抜歯した部分にはインプラントを入れる準備を進めます。
これはCT上でのシミュレーションです。

下歯槽管と呼ばれる下顎骨の中の血管や神経が通る管との位置関係を調べたり、インプラントの周りにどれくらいの骨の厚みがありそうか見てみることで、安全に手術ができそうか確認するのです。

インプラント処置後のレントゲン写真です。
シミュレーション通りの位置にインプラントが入っており、経過良好です。

続いて上の歯の治療に進みます。
こちらはレントゲン上、問題がないように見えますが、

歯ぐきがプクッと腫れていました。
歯の中になにかしら問題があるようです。

差し歯だったので外してみました。
マイクロスコープで覗いてみると亀裂が入っていることがわかりました。

残念ながら亀裂が入っていると炎症が治らないので、抜歯しました。
歯ぐきが腫れていたところを抜歯後に内側から見ているところです。
骨が溶けて炎症組織が見えます。

実際の歯はこんな感じです。
亀裂が入っているのがわかります。

こちらはブリッジという治療法で治しました。
治療後のレントゲン写真です。
前後の歯を被せ物でつなげることで抜歯した部分にも人工歯ができ、噛めるようになるのです。
治療の前後を見比べてみましょう。

治療前

治療後

治療前

治療後

治療前

治療後
上下の奥歯を同時に治療することで、良い噛み合わせを作ることができます。
治療後に良い状態をキープするためにはとても大事なことなのです。

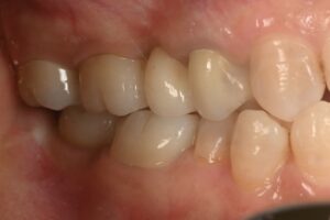
インプラントを入れた下の奥歯の写真です。
歯ぐきと馴染むような形にすることで歯みがき、メンテナンスがしやすくなります。

ブリッジを入れた上の奥歯の写真です。
もともと少し歯ならびがガタガタの状態でしたが、被せ物にすることで形を揃えることができます。

そうすることで安定した噛み合わせとなり、咀嚼しやすくなるのはもちろんのこと、
一つ一つの歯にかかる負担をバランスよく分配することができ、歯を長持ちさせることができるのです。
今回は被せ物の材料をセラミックにしました。
むし歯や歯周病の原因となるプラークが付着しづらく、病気の予防につながります。
いかがでしたか?
奥歯の治療をする際に大事なポイントは、
・歯の内部の状態をしっかり確認して病気になっている原因を探ること
・全体の噛み合わせを考えることで治療後に病気を再発させない環境を作ること
です。
ご興味のある方はぜひ一度アズ歯科桶川院までご相談ください。
| 治療期間 | 8ヶ月 |
|---|---|
| 治療費 | ¥800,000 + tax |
| 治療のリスク | 歯の切削や外科処置が必要となる |











