目立たない入れ歯
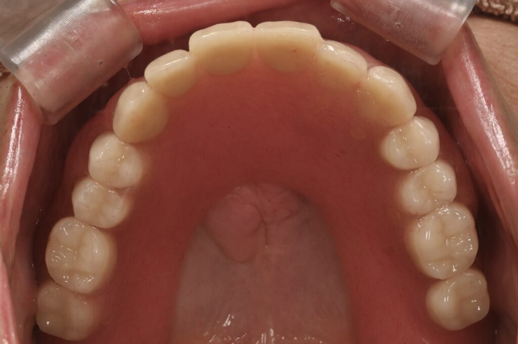
歯を失ってしまった場合の治療方法には ブリッジ、入れ歯、インプラントが考えられます。 口の中の状況、残っている歯の本数、費用などにより、どの治療が1番適しているかが変わってきます。 特に複数本の歯を失っている場合、ブリッジが適用できない場合があります。 その際に選択できるのが、入れ歯かインプラントになります。 インプラントはしっかり噛むためにとても良い治療方法だと考えますが、 金額がかかってしまう 外科処置が必要なため全身状態が不良な人にはリスクがある 治療期間がかかる などのデメリットがあります。 そういったことを考慮して入れ歯を選ぶ患者さんもいらっしゃいます。 今回は入れ歯の相談で来院された患者さんです。 元々、入れ歯を使用していたが、歯にかける金具が見えるのが気になるとの事です。 治療前の口腔内写真です。 下の歯は2本のみ残存しており、その部分に入れ歯をかけている状態でした。 正面から口元を見ると、歯にかけている入れ歯の金具があるのが分かります。 今回は歯の本数が少ないため、ブリッジを選択することができないのと、治療期間、金額の面を考慮し目立たない入れ歯を検討することになりました。 通常、保険の入れ歯では金具を使用する必要があります。 そのため、金属を使用しない保険外の入れ歯、ノンクラスプデンチャーをおすすめしました。 ノンクラスプデンチャーとは歯茎の色に近い特殊な樹脂を使用します。 利点 柔軟性があり、フィット感が高いため違和感が少なくなる。 入れ歯が歯を包み込む設計のため、周囲の歯に負担をかけづらい。 入れ歯の下に食べ物などの汚れが入りづらい。 金属を使用しないため、金属アレルギーの心配がない。 審美的である。 欠点 保険外治療のため費用がかかる。 歯の状況によって適用できない場合がある。 同意を得て、治療に移ります。 保険外専用の材料を用い、精密な型取りを行います。 そして歯と歯茎の形に合わせた入れ歯を作成していきます。 ケースにもよりますが、 型取り→咬み合わせの記録採取→試適→完成といった流れで進みます。 4−5回の来院が必要になることが多いです。 完成し装着した状態の口腔内写真です。 口元の写真です。 金具を使っていないため、入れ歯を装着しているのが外から見ても分かりづらいと思います。 審美面のみではなく、入れ歯の下に食べ物が入りづらく、硬いものもよく噛めると患者さんに大変喜んで頂けました。 患者さんのお口の状態によって、ブリッジ、インプラント、入れ歯の中で1番適した治療方法は異なると考えています。 一人一人の患者さんとしっかりとお話しをした上で治療方法を検討していきます。 お気軽にご相談ください。 よくある質問 ここで患者さんからよくある質問を挙げたいと思います。 Q:入れ歯はすぐ作れますか? A:残っている歯の状態が問題なければすぐに型取りを行い、作成可能です。ただし、治療が必要な歯があれば、まずその歯の治療を行った上で型取りをする必要があります。 Q:痛みが出ますか? A:新しい入れ歯を装着する際には歯茎に当たって痛い場合があります。また、長期的に使用していくと歯茎の形も変化してくるため痛みが出ることもあります。その際は入れ歯の調整をすれば痛みを取り除くことが可能です。 Q:メリット、デメリットを教えてくだい。 A:メリット:周囲の歯を削らない。治療期間が短く済む場合がある。 デメリット:違和感がある。噛む力があまり発揮できない。材料にもよるが審美面に影響が出ることがある。 治療期間 1ヶ月 治療費 ¥150,000 + tax 治療のリスク 材料が欠けてしまう可能性がある。 長期的に使用すると調整が必要な場合がある。
2025.10.03










