メタルフリーってなに?

桶川の歯医者|アズ歯科 桶川院
2025.01.12

メタルフリーってなに?

「銀歯をとって白くしたい」という希望があり来院されました。

 

上下の奥歯に金属の詰め物がついていました。

光るので見た目にも目立ちます。

 

それ以外に、金属が劣化して噛みづらいというお悩みもありました。

表面が荒れているのがわかります。

 

下の奥歯にも小さい金属がありました。

こちらも治療希望です。

 

それでは、始めていきましょう。

上の歯の治療

 

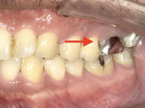
まずは上の奥歯の金属を外します。

すると、なかに古い詰め物が入っているのが見えます。

 

それも外すとその奥に根の治療をした際に詰めてある材料が見えてきました。

今回はこの歯の周りに炎症はなかったので、

 

新しいコンポジットレジンという白い材料で埋めました。

むし歯はなかったので、歯の中の治療はこれでおしまいです。

 

 

下の歯の治療

続いて、下の奥歯の治療をしましょう。

この金属の詰め物を外すと、

 

こちらも古いセメントがあり、変色していました。

きれいに取り除いて、

 

コンポジットレジンという白い材料で埋めました。

こちらは詰め物が小さいのでこれで強度は十分、治療はおしまいです。

 

 

あとは、上の奥歯に新しい被せものを作りましょう。

この状態で型をとり、技工士さんに依頼します。

 

 

できあがった被せものがこちらです。

今回はジルコニアというセラミックの被せものにしました。

 

いかがでしょうか?

しっかりと歯の形を再現した白い被せものはきれいです。

 

治療の前後を見比べてみる

治療前

治療後

 

 

治療前

治療後

 

 

治療前

治療後

 

 

お口のなかに金属がなくなると、見た目の印象はだいぶ変わりますよね。

奥歯のほうでも金属が反射して光ると少し気になるものです。

 

また、後日お話を聞いてみると、

奥歯で噛みやすくなったそうです。

 

金属は時間が経過すると表面が荒れて、

食べ物をすり潰しづらくなってしまいます。

 

セラミックは非常に硬度が高く、表面が荒れづらく長持ちするという特徴があります。

もちろん、金属ではないので、金属アレルギーの方にも安心しておすすめできる材質です。

 

気になる方はぜひ一度アズ歯科桶川院までご相談ください。

 

 

治療期間 1ヶ月
治療費 ¥100,000  +  tax
治療のリスク 歯を削る必要がある

 

AS DENTAL CLINIC.
日本歯科医療評価機構

患者様満足度アンケートにご協力ください。

患者様により良い歯科医療を提供するため、
第三者機関に依頼して
満足度調査を行っています。
当院には患者様の個人情報は
一切伝えられません。
是非、たくさんのお言葉をお寄せ下さい。

また、当院では皆様から頂いたご意見をもとに、スタッフ全員で医院をよりよくしていく取り組みを実施しています。
当院について、お気づきになられた点などがございましたら、何でもお気軽にご意見をお寄せください。