矯正歯科


どんな歯並びでもあらゆる症例に対応

Before

After
当院には、インビザラインドクター、矯正医のほか口腔外科専門医、麻酔科医とたくさんの専門医が在籍しているため、様々な視点から矯正治療の提案が可能です。
| 治療期間 | 5ヶ月 |
|---|---|
| 治療費 | ¥400,000+税 |
| 治療のリスク | 後戻りしてしまう可能性がある |
当院の豊富な
症例実績をご紹介



どんな歯並びでもあらゆる症例に対応

Before

After
当院には、インビザラインドクター、矯正医のほか口腔外科専門医、麻酔科医とたくさんの専門医が在籍しているため、様々な視点から矯正治療の提案が可能です。
| 治療期間 | 5ヶ月 |
|---|---|
| 治療費 | ¥400,000+税 |
| 治療のリスク | 後戻りしてしまう可能性がある |


美しい歯を手に入れることができる

Before

After
美しく機能的なお口を手に入れるためには、高度な技術・経験がなにより大亊です。歯をキレイにしたい、美しくしたいなどのお悩みがございましたら、ぜひご覧ください。
| 治療期間 | 2ヶ月 |
|---|---|
| 治療費 | 約100,000円+税 |
| 治療のリスク | 強い衝撃でかけてしまう可能性あり |


歯の黄ばみや変色を、削らずにキレイに!

Before

After
人の歯は、エナメル質・象牙質・神経の3層構造のため、外側からのアプローチだけでは解消できません。そのため、歯の内部を漂白するホワイトニングが必要なのです。
| 治療期間 | 2ヶ月 |
|---|---|
| 治療費 | ¥30,000~ |
| 治療のリスク | 色が後戻りしてしまう可能性がある |


入れ歯とは違う、自分の歯のような感覚

Before

After
歯を失った箇所に人工の歯根(インプラント)を埋入し、歯を補う治療法です。入れ歯やブリッジなどと比較すると健康的なデメリットが少なく理想的な治療といえます。
| 治療期間 | 5ヶ月 |
|---|---|
| 治療費 | ¥1200,000+税 |
| 治療のリスク | インプラントが歯周病になる可能性がある |
経験豊富なドクターによる丁寧な抜歯

Before

After
当院では、親知らずの抜歯を希望して来院される方に、安心・安全な医療を提供できるよう、万全な体制、アフターフォローを整えております。
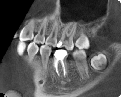
マイクロスコープを
用いた精密根管治療

Before

After
虫歯が進行し、菌が歯の中の神経にまで及んでしまった場合、抜歯以外の治療法として、神経を除去することがあります。このような根の治療を根管治療といいます。


虫歯治療
小児歯科

歯がボロボロ

入れ歯


予防歯科



噛み合わせ
口腔外科




患者様により良い歯科医療を提供するため、
第三者機関に依頼して
満足度調査を行っています。
当院には患者様の個人情報は
一切伝えられません。
是非、たくさんのお言葉をお寄せ下さい。
また、当院では皆様から頂いたご意見をもとに、スタッフ全員で医院をよりよくしていく取り組みを実施しています。
当院について、お気づきになられた点などがございましたら、何でもお気軽にご意見をお寄せください。