前歯から奥歯までのブリッジ

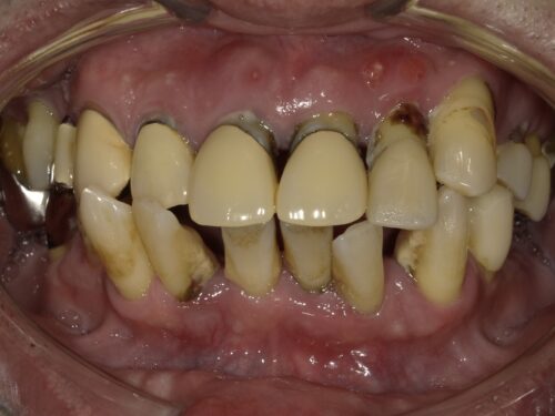
歯周病で歯がグラグラしてしまって来院された患者さんです。
長年お悩みだったようです。

グラグラしてる影響か、前歯が傾いてきてしまっています。
歯ぐきの周りに歯石がついているのが見えます。

歯ぐきも赤く腫れ上がっていますが、
歯周病はそこまで痛みがないので
気づかないうちにここまで進んでしまっていた、なんてこともよくあります。
自覚症状は強くないですが、
重度歯周病の歯はほうっておくとどんどん周りの骨を溶かしていってしまうので、
抜歯をすることで骨の炎症を治さなければなりません。

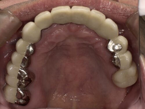
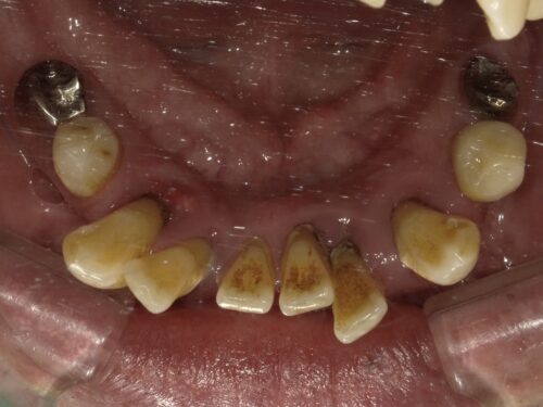
奥歯も残っていますが歯周病で根元まで見えてしまっていたり、
歯の向きが変わってしまっているところもあります。

下の大臼歯とよばれる奥歯はもうありませんでした。
このままだと傾いた前歯のあたりで噛むことが続き、
より歯周病の進行を早めてしまいます。
以上のことから、
歯周病の原因となる歯石(歯周病菌のかたまり)をとるために全体的にクリーニングを進めながら、
奥歯でしっかり噛めるように歯を作り、前歯の見た目も改善していきました。

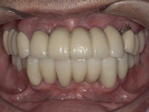
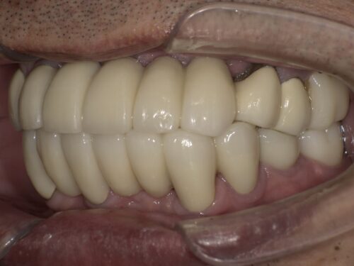
治療後の写真です。
前歯はブリッジとよばれる治療法で治しました。

根元の歯ぐきは赤みがなくなり健全な状態になりました。
奥歯でもしっかり噛めるようにすることで前歯にかかる負担を軽減しています。

前歯の傾きも改善して、上下の前歯が本来の位置関係で噛めています。
ただ、歯周病の影響で歯ぐきが下がっており、そこのブラッシングはしっかり続けていく必要があります。

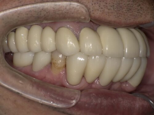
歯一本一本だとグラグラしてしまうような状態でも、
ブリッジといってかぶせ物でつなぐことで全体として強度が上がるようにしています。

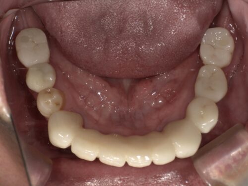
下の奥歯はインプラントを入れることで噛める範囲を増やしています。
お口の全体を使って噛むことは、
一部の歯に負担がかかることを防ぎ、
歯を長持ちさせることにつながります。
治療の前後を見比べてみましょう。
治療前

治療後

治療前

治療後

治療前

治療後

治療前

治療後

治療前


いかがでしたか?
- 歯がグラグラして噛みづらい
- ボロボロだけど治療できるのかな
- 前歯の向きが変わってきた
などのお悩みをお持ちの方はぜひ一度ご相談ください。
治療を始めてから終わるまでに数年かかることもありますが、
最後までしっかり治療をやりきる気持ちがあれば大丈夫です。
いっしょに頑張りましょう!
| 治療期間 | 2年 |
|---|---|
| 治療費 | ¥2,200,000(税込) |
| 治療のリスク | 欠ける可能性がある、歯にかかる負担が増える可能性がある |











