大切な方にも勧められる、
そんな「歯科治療」を
全ての患者様に。
大切な方にも勧められる、
そんな「歯科治療」を
全ての患者様に。
年中無休
土日祝も診療してる
歯医者
ドクター多数
10名以上の
専門ドクターが在籍
急患対応
突然の痛みでも
頼れる歯医者
180台駐車可
車のご来院OK
| 診療時間 | 月 | 火 | 水 | 木 | 金 | 土 | 日 | 祝 |
|---|---|---|---|---|---|---|---|---|
| 9:00~19:00(最終受付18:30) | ○ | ○ | ○ | ○ | ○ | - | - | - |
| 9:00~17:00(最終受付16:30) | - | - | - | - | - | ○ | ○ | ○ |
※昼休み:13:00-14:00
※受付開始は診療開始の15分前から
(午前8:45〜/午後13:45〜)
〒363-0009
埼玉県桶川市坂田東2丁目3−1
フレスポ桶川坂田 1F
自分にして欲しい治療、
家族や大切な方に
してあげたい治療を
全ての方に。
1
平日19時まで
土日祝17時まで
2
患者様用
大型駐車場
3
夢中で遊べる
キッズルーム設置
4
プライバシーに
配慮した診療室
5
徹底した
消毒・滅菌対策
6
充実の
診療機器と診断
地域の皆様が
気軽に立ち寄り、
なんでも相談ができる、
温かみのある
歯医者を目指して。
スクロール時にカレンダーを読み込みます。
症例ブログ
2026年05月15日
ホワイトニング 審美治療 症例集
出来るだけ早く歯を白くしたい方へ
「写真を撮った時に歯の黄ばみが気になる…」
「大事な予定があるから、できるだけ早めに白くしたい……
2026年05月08日
マイオブレース 小児歯科 症例集 矯正治療
前歯の噛み合わせが逆…
「歯並びの相談」から始まった、お子さんの噛み合わせの経過
「子どもの歯並び、これって大丈夫かな……
2026年04月25日
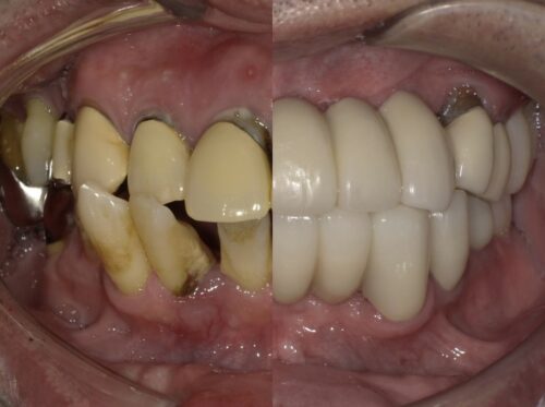
審美治療 症例集 虫歯治療
銀歯を白くしたい…セラミックインレーで自然にきれいにできるって知っていますか?
「できるだけ白いものに変えたい」そんなご相談から始まった症例です
「銀歯が目立つからきれいにしたい…… 歯科コラム
おくちの育み教室 活動報告
おくちの育み教室活動報告🦷🍼
10月12日(土)
メリー★ポピンズ桶川ルームの支援室ちきんえっぐ様にて
口腔機能支援士と栄養士より
【口腔育成】と【歯の……
おくちの育み教室活動報告🦷🍼
10月12日(土)
メリー★ポピンズ桶川ルームの支……
0歳からはじめる子どもたちの口腔育成
生きる上で必要な力「呼吸と摂食嚥下」
みなさんは、自分が赤ちゃんから大人になるまでに必要な、呼吸と摂食嚥下という生きる上で必要な力を意識したことがありますか?
実は近年……
生きる上で必要な力「呼吸と摂食嚥下」
みなさんは、自分が赤ちゃんから大人になるまでに必要な、呼……
コラム マタニティ歯科
知っていますか?妊婦さんのための歯科検診
妊婦歯科検診の内容は、虫歯の有無や、歯肉の状態をチェックするのが一般的です。
また歯科医師や歯科衛生士から正しい歯の磨き方のアドバ……
知っていますか?妊婦さんのための歯科検診
妊婦歯科検診の内容は、虫歯の有無や、歯肉の状態をチェック…… 

患者様により良い歯科医療を提供するため、
第三者機関に依頼して
満足度調査を行っています。
当院には患者様の個人情報は
一切伝えられません。
是非、たくさんのお言葉をお寄せ下さい。
また、当院では皆様から頂いたご意見をもとに、スタッフ全員で医院をよりよくしていく取り組みを実施しています。
当院について、お気づきになられた点などがございましたら、何でもお気軽にご意見をお寄せください。