根っこは引っぱりだせるって知ってた?
前歯が折れたり、差し歯が取れたりで、歯科医院を受診することってあると思います。
その時に、
「あー、もう歯が根っこしか残ってないから被せ物はできないよ」
と言われてしまうかもしれません。

歯が根っこしか残ってないと、被せ物を支えることができないのです。
そんな時に、
残された一つの方法があります。
“エクストルージョン”です。
矯正治療のように歯に力をかけて引っぱりだします。

この点線の部分を作れば差し歯が安定するので、
このぶんだけ歯を引っぱりだすのです。
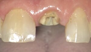
実際の治療を見てみましょう。

前歯の差し歯が取れてしまった患者さんです。
ふちのところに虫歯も見られます。

根っこしか残っていない状態です。
このままだと差し歯はすぐに取れてしまいます。

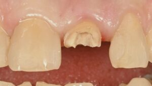
まずは差し歯が取れてしまった表面をキレイにします。

差し歯の折れて残った部分も取ります。

歯周病はなく、引っぱりだすことができれば大丈夫そうです。

この状態です。
それでは、エクストルージョンを始めましょう。

歯の後ろ側からワイヤーを通して、ゴムの力で歯を引っぱりだします。
ゴムは徐々に力が弱まるので、1~2週間ごとに交換します。

1回目のゴム交換時です。
少しずつ歯が出てきて、歯ぐきの上に見える部分が増えてきました。

2回目のゴム交換時です。
歯がはっきりと見えてきました。

表から見た状態です、仮歯がついています。
ワイヤーは裏に隠れているので目立ちません。
今回予定していたぶんだけ歯を引っぱりだすことができたので、
ワイヤーを外します。

いかがでしょうか。
歯ぐきに隠れていた部分もしっかりと表面に見えるようになりました。

全周にわたって歯が見えており、差し歯を被せることができそうです。
ここで、今回の治療の経過を評価するため、
治療の前後を見比べてみましょう。
治療前


治療後


治療前

治療後

この後は、差し歯をするために新しい土台を作ります。

そして、被せ物をします。

これは仮歯です。
一旦仮歯を被せてみて、
日常の食事で問題が起こらないか、しばらく経過をみるのです。
治療前

治療後

歯を引っぱりだすというのは、歯が長くなったわけではありません。
そのぶん、歯ぐきの中、骨とくっついている根は短くなったのです。
なので、
グラグラしたりしないか経過をみる必要があります。
場合によっては被せ物の形を変更して、この歯にかかる負担をコントロールします。
以上のことから、
もともと歯周病があったり、もともと歯が短い場合はできない治療法です。
ですが、気になる方は一度ご相談ください。
「あー、もう歯が根っこしか残ってないから被せ物はできないよ」
と言われてしまった方へ。
そこからもう少し、その歯を延命できるかもしれません。
桶川市で歯科医院をお探しの方は、アズ歯科桶川院までお越しください。
| 治療期間 | 3ヶ月 |
|---|---|
| 治療費 | ¥50,000 + tax |
| 治療のリスク | 治療後に歯が後戻りする可能性がある |











