入れ歯を作りましょう
歯をたくさん失い、今から歯科治療を始めるのは無理かなと諦めている方、
歯がほとんどないけど入れ歯を使っていない高齢のご家族がいる方、
この記事を読んだら、ぜひ一度歯科医院を受診してください。
入れ歯を作るのはそんなに大変な道のりではありません。
ご要望を伝えていただければ、患者さんに合わせた治療をご提案いたします。

80代半ばの患者さんです。
多くの歯を失っており、上下の歯で噛むことができない状態です。
しかし、これまで入れ歯を使っていなかったとのことでした。
「こんなに悪くなってからじゃ、治療ができないと思って」
そうお考えであったようですが、今回さすがにご飯が食べづらくなったとのことで、
当院を受診されました。

上の歯は残り3本、

下の歯は1本しか残っていません。
この状態でお食事をとっていても十分に咀嚼できず、
食べづらいだけでなく、食べ物の消化吸収がうまくいかずに、
胃腸障害や栄養摂取にも影響を及ばしかねません。

レントゲン写真です。
幸い、残っている歯の歯周病は進行していましたが、
グラグラして今にも抜けそうな歯はありませんでした。
今回の治療では、
残りの歯をすべて活かしながら、部分入れ歯を使って咀嚼力の回復を目指します。

まずは残っている歯の虫歯の治療です。

虫歯を放置すると痛みが出るだけでなく、
穴が大きくなれば入れ歯をかけづらくなったり、歯が折れるおそれも出てくるため、
入れ歯を作る前にしっかり治療します。

他の歯も同様に、

虫歯の治療を進めます。
入れ歯作りの準備が進んだら、いよいよ型取りです。
その後は噛み合わせを確認したり、見え方のチェックをしたりしながら、
入れ歯を完成させます。

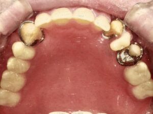
そうして出来上がった入れ歯がこちらです。
残っていた歯に金具をかけて装着するタイプの入れ歯です。
残っている歯の位置はバラバラですが、
入れ歯が奥歯の部分でしっかり噛み合っています。
治療前

治療後

治療前

治療後

こう見ると噛める範囲が広くなったことがわかりやすいですね。
今回は患者さんが高齢であり、何度も通院するのが大変だったこと、
できるだけ早く入れ歯を作り、お食事できるようにしたかったこと、
この2点を優先的に考え、治療を進めることにしました。
治療前

治療後

いかがでしょうか。
ちなみに通院が必要だったのは、
虫歯を治療して型をとる日、
噛み合わせの記録をとる日、
イメージ通りの歯ならびになるか確認をする日、
入れ歯が完成してお渡しする日、
以上の計4回、期間にして1ヶ月ほどです。
そうすることで、咀嚼力を回復するための入れ歯が出来上がるのです。
痛いと感じるような治療内容ではないですし、
1回あたりの治療時間もそんなに長くかかりません。
実際に入れ歯を作るか悩んでいる方、
治療が大変そうで歯医者に行くのをためらっている方、
またはご家族だったり、そのようなお悩みをお持ちの方が身近にいらっしゃる方、
これらの方はぜひ一度アズ歯科桶川院までご相談ください。
ご要望に合わせた治療内容をご提案いたします。
入れ歯を作って、しっかりとお食事をとれるようにしましょう。
| 治療期間 | 1ヶ月 |
|---|---|
| 治療費 | 保険診療 |
| 治療のリスク | 治療後に調整が必要になる可能性がある |











