子供の噛み合わせが気になるなら

桶川の歯医者|アズ歯科 桶川院
2025.10.16

子供の噛み合わせが気になるなら

お子さんの歯並びを心配されて相談に来院される保護者の方は多くいらっしゃいますが、歯並びが悪くても矯正が適用になる年齢は患者さんやケースによって異なります。

前歯が永久歯に生え変わる時期、また奥歯に6歳臼歯が生えてくる頃に矯正を始めるのが一般的と考えています。

しかしケースによってはもっと早く矯正の介入をした方が良い場合もあるので、歯科医院での定期的なチェックをお勧めします。

 

今回は前歯の歯並び、噛み合わせが気になると来院された患者さんです。

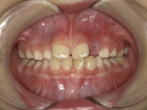
初診時の口腔内写真です。

前歯の噛み合わせが逆になっているのが分かると思います。

上の真ん中の前歯2本と下の前歯4本は永久歯です。

また、真ん中から向かって左に2本目は乳歯ですが、これも反対の噛み合わせになっています。

今の状態は歯の生える向きの問題、上顎の前方への成長不良によるものと考えます。

この状態のまま放置しておくと、下の前歯が上の前歯に押されるため下顎が前方に成長していってしまいます。

それにより骨格的な問題が出てしまう可能性があります。

そのため早めの改善を目指し、矯正治療をおすすめしました。

また、上顎の前方への成長不良の原因として口呼吸や舌の使い方が間違っていることが考えられます。

これに対して、理学療法士と専門の衛生士によるトレーニングも同時並行で必要と判断しました。

 

矯正の検査を行い現状の分析、どんな治療が必要かを調べます。

本人、保護者の方に説明し治療に移ります。

当院での小児矯正で使用するものはほとんどが取り外せる装置です。

基本的には学校から帰ってから、自宅で使用してもらい、夜間の使用もお願いしています。

最初は違和感があり使いづらいこともありますが、子供の順応性は早く、すぐに慣れる子がほとんどです。

 

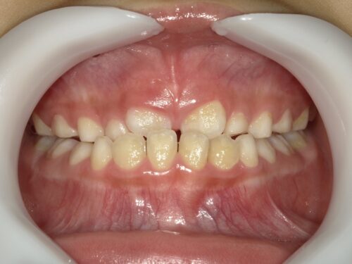
約半年間の装置の使用とトレーニング後の写真です。

前歯の噛み合わせは正常になりました。

隣の乳歯の噛み合わせも改善されています。

歯並びは後戻りする可能性があるため、一定期間使用を継続し経過を見ていきます。

 

さらに1年後の写真です。

上下とも前歯は全て大人の歯に生え変わりました。

噛み合わせも歯並びも大きな異常はありません。

 

治療前後で比較します。

治療前

治療後

 

今後は全ての歯が永久歯に変わるまで歯科検診と合わせて定期的にチェックしていく予定です。

今回のように早い段階で治療に介入できると、治療期間も長期にかからずに済む場合があります。

もし、全て永久歯に変わってからの相談であれば、骨格的な問題が出ている可能性があり、通常の矯正では治せないこともあります。

虫歯も歯並びも早期に介入できた方が楽に改善できる場合が多くあります。

歯科医院での定期的なチェックをおすすめします。

 

よくある質問

ここで患者さんからよくある質問を挙げたいと思います。

Q:痛みはありますか?
A:歯茎に当たって痛むことがありますが、その場合は使用を中断し医院に持ってきてもらえれば調整できます。
Q:通院頻度はどれくらいですか?
A:基本的には月1回の通院をお願いしています。
Q:期間はどれくらいかかりますか?
A:大人の歯が生え揃う頃までチェックする場合がほとんどです。
治療期間 1年半
治療費 ¥450,000 + tax
治療のリスク 装置が当たって痛い場合がある。

歯が後戻りする場合がある。

 

AS DENTAL CLINIC.
日本歯科医療評価機構

患者様満足度アンケートにご協力ください。

患者様により良い歯科医療を提供するため、
第三者機関に依頼して
満足度調査を行っています。
当院には患者様の個人情報は
一切伝えられません。
是非、たくさんのお言葉をお寄せ下さい。

また、当院では皆様から頂いたご意見をもとに、スタッフ全員で医院をよりよくしていく取り組みを実施しています。
当院について、お気づきになられた点などがございましたら、何でもお気軽にご意見をお寄せください。