前歯の審美治療

桶川の歯医者|アズ歯科 桶川院
2021.06.23

前歯の審美治療

 

前歯の見え方を変えるには

①ホワイトニングで色を変える

②矯正で歯の位置を変える

③セラミックなどの被せ物で形と色を変える

などの方法があります。

今回相談で来られた患者様は、歯をきれいに見せることを希望していました。

歯並びは大きく問題はなかったのですが、古い詰め物の影響もあり色が濃く見えている状態です。

 

 

最小限で治療する場合、ホワイトニングと詰めてあるものをやり直す方法があります。

メリットは歯をあまり削らずに治療できます。

デメリットは歯の色自体が後戻りする可能性、詰めたものが変色してしまう可能性があります。

相談の結果、削ってでもしっかりとしたきれいな色と形に変えたいと希望されたため、

セラミックを用いて修復していくことになりました。

 

まず、歯を削り仮歯を装着します。

仮歯は材料の足し引きで様々な形を試すことができます。

患者様が気に入る形になるように修正を繰り返していきます。

 

修正し終わった形を参考に、最終的な被せ物を作製していきます。

 

口の中でかみ合わせ、色、見え方などを確認します。

問題ないことが確認できたため、完成とし、装着します。

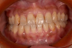
装着後の写真です。

 

 

自然な色、形になりとても喜んでいただけました。

削ってしまうことは歯にとってダメージにはなりますが、しっかりとした治療を行うことで、確実な結果を生むのと長い期間維持できる被せ物を作ることができます。

アズ歯科桶川院では様々な審美治療を行っております。

お気軽にご相談ください。

治療期間 4ヶ月
治療費  ¥600,000   +   tax
治療のリスク 被せ物が取れてしまう可能性がある
AS DENTAL CLINIC.
日本歯科医療評価機構

患者様満足度アンケートにご協力ください。

患者様により良い歯科医療を提供するため、
第三者機関に依頼して
満足度調査を行っています。
当院には患者様の個人情報は
一切伝えられません。
是非、たくさんのお言葉をお寄せ下さい。

また、当院では皆様から頂いたご意見をもとに、スタッフ全員で医院をよりよくしていく取り組みを実施しています。
当院について、お気づきになられた点などがございましたら、何でもお気軽にご意見をお寄せください。