ワイヤー矯正治療(上顎)
歯並びの相談で来院され矯正治療が終了した患者様の報告をしていきます。
上下での矯正を行いましたが、それぞれ分けて説明していきます。
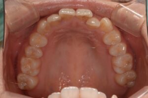
治療前の口腔内写真です。


左上の前歯が上下で噛み合わせが逆転しているのと、下の前歯のがたつきが気になるとのことでした。
矯正の検査を行い、その結果を患者様と相談します。
今回前歯を後ろに下げて口元を改善したい希望は特になく、歯並びの改善が主訴であったため、抜歯などはせずスペースの足りない部分に関しては歯の大きさを少しだけ小さくして対応していくことになりました。
治療の流れです。
まず全体の並びを整えていきます。
細いワイヤーを引っ込んでいる歯以外に装着します。


全体に通すワイヤーのサイズを太くしていきながら、引っ込んだ歯が出てくるためのスペースを確保するためオープンコイルスプリングと呼ばれるバネを入れ歯並びを横にも広げていきます。


スペースを広げながら引っ込んだ歯にも装置をつけ、矯正力を加え前に引いていきます。


引くワイヤーのサイズを太くしていき、歯にかかる矯正力を少しづつ上げていきます。


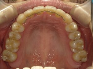
だいぶ歯が出てきたのがわかると思います。


この後下の歯並びを整えていき、噛み合わせが安定したら終了します。

治療終了後は歯の後戻りが起きる可能性があるため、歯の裏側を細いワイヤーで固定し
その上からマウスピースなどを使用してもらい一定期間経過観察をしていきます。
矯正治療は歯を抜いて治す場合と抜かずに治す場合があります。
そのためには最初の資料の採取とそれを用いた診断がとても大事になってきます。
また患者様がどういったゴールを希望しているかでも治療方針が大きくなって変わります。
歯並びや噛み合わせの改善が主訴なのか、口元を下げたい、歯を長く見せたい、歯の正中と顔の正中を揃えたいなど、患者様それぞれで希望も大きく異なります。
そのため最初の問診と治療途中での希望の確認、修正点の有無と最初に出た診断を擦り合わせながら治療を進めていきます。
アズ歯科桶川院では、矯正専門医、口腔外科医、一般歯科医、理学療法士などで連携をとりながら様々な矯正治療のケースに対応しています。
お気軽にご相談ください。
| 治療期間 | 1年半 |
|---|---|
| 治療費 | 上下の矯正で¥900,000 + tax |
| 治療のリスク | 矯正後に歯の後戻りが起きる可能性がある |











