また自分の歯で食べるために〜咬合再構成〜
虫歯や歯周病でほとんどの歯を失ってしまっても、
残りの歯を治療して、
もう一度自分の歯で食事を取れるようになること。
道のりは大変かもしれませんが、
患者さん本人のやる気があれば、
ぜひ力になりたいと思っています。
今日はそんなお話です。

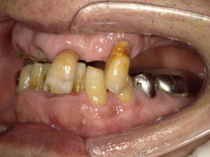
初診時の写真です。

上顎の歯が虫歯でほとんどなくなってしまっています。
上下の歯で噛めるところがありません。

反対側もそうです。
上顎の奥歯は抜いてあるので噛めません。
このような状態では咀嚼ができず、
食べ物を丸飲みするような食事になってしまいます。
「なんでも食べれるよ、別に困ってない」
という方もいるかもしれません。
ご家族でそのように言われている方はいませんか?
いっぺんに何本も歯を失う人はいません。
虫歯や歯周病で少しずつ歯がなくなっていったとしても、
その時の状況に合わせて食事をとっているので、
咀嚼力の低下は、実はあまり自覚症状がないのです。
それでも歯を失っていれば確実に咀嚼効率がわるくなり、
①食べられる物が減る(硬い物や、噛みごたえのある物)
②食事が遅くなる
③丸飲みするので胃腸をわるくする
などの影響が出てきます。
なので、
痛くなくてもぜひ治療を受けてください。
治療をすればちゃんと噛めるようになります。

先程の写真の患者さんです。
時間はかかりましたが、左右全体で噛めるようになりました。

治療の前後です。
虫歯の歯を治療して被せ物をしています。

歯を失っていた部分には入れ歯を装着しています。

こう見てみると、噛める部分が増えたことがわかりやすいでしょうか。
上顎は当時は歯の形を保っている部分は3本しかありませんでしたが、
今は13本の人工歯が入っており、左右どちらでも噛むことができます。

入れ歯は取り外して清掃が必要ですが、次第に慣れてくるはずです。
きちんと前歯と奥歯、お口の中全体で噛むことが重要です。

レントゲン写真です。
単に入れ歯を作るだけでなく、時間はかかりますが、
きちんと虫歯の治療、根の治療、歯周病の治療をすることが大切です。
当時のままでは上の前歯に負担がかかり、
時間の問題で前歯が抜けてしまい、
そうなると治療の選択肢は総入れ歯しかなかったと思います。
総入れ歯でもきちんと治療をすれば噛むことはできるようになりますが、
食べられる物に制限が出てくることが多いのです。
残りの歯が少なくなっている方、
またはそのような状態のご家族がいらっしゃる方、
この記事を見て少しでも興味が出たらぜひご連絡ください。
時間はかかるかもしれませんが、
またご自分の歯で美味しく食事をとれるようになるために。
一緒に頑張りましょう。
アズ歯科桶川院は全力で支えます。
| 治療期間 | 8ヶ月 |
|---|---|
| 治療費 | 保険治療 |
| 治療のリスク | 治療後もメンテナンスが必要になる |











