2020.05.10
前歯のセラミック治療
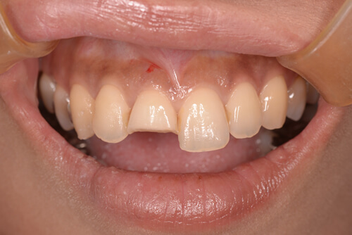
| 治療前 | 治療後 |
|---|---|
![]() |
![]() |
主訴:前歯かけた
治療内容
転倒し前歯を折ってしまったと来院されました。
仮歯を作製し、形の修正や長さの調整を行い経過観察
問題がないのを確認後、型取りしセラミックを装着
このようなお悩みがある方、アズ歯科桶川院までご相談ください。
| 治療期間 | 2ヶ月 |
|---|---|
| 治療費 | 約100,000円 + 税 |
| 治療のリスク | 強い衝撃でかけてしまう可能性あり |



患者様により良い歯科医療を提供するため、
第三者機関に依頼して
満足度調査を行っています。
当院には患者様の個人情報は
一切伝えられません。
是非、たくさんのお言葉をお寄せ下さい。
また、当院では皆様から頂いたご意見をもとに、スタッフ全員で医院をよりよくしていく取り組みを実施しています。
当院について、お気づきになられた点などがございましたら、何でもお気軽にご意見をお寄せください。