頑張って前歯を作ってみませんか?
「治療したいけど、大変そうだしな」
と思いとどまっているそこのあなた。
最初の一歩がなかなか進まないんですよね。

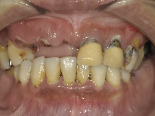
前歯の治療をしたいと来院された患者さんです。
むし歯もあって数本、カタチがなくなってしまってますよね。
歯石もついているから歯周病の治療もやりながら、
残せない根っこは抜歯して、
前歯のかぶせ物をするまで頑張って進めていきました。

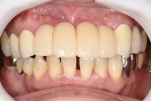
かぶせ物をした後の写真です。
イメージ変わりませんか?
この方は奥歯の入れ歯も作って、しっかり噛めるようになりました。

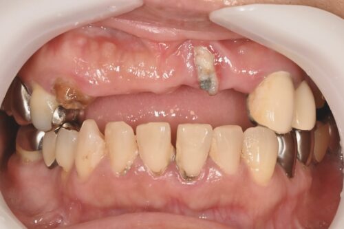
次の患者さんです。
この方も前歯のかぶせ物がとれてなくなってしまったようです。
しっかり治療をすれば、また噛めるようになります。

治療後の写真です。
やっぱり前歯が治ると、印象が良くなりますよね。
噛みやすくなりますし、嚥下や発音にも影響してきますよ。

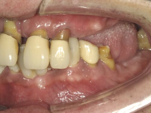
こちらの方は前歯がグラグラでかぶせ物は難しかったので、
抜歯をすることになりました。

治療後の写真です。
上の歯は入れ歯になりましたが、
見た目の印象はかなり良くなりますよね。
グラグラの歯を残しておくよりも、
しっかりした入れ歯にしたほうが食事をとりやすくなる方も多いです。

お口の状態は人によってちがうので、皆さまに同じ治療が必要になるわけではありません。
その方に合わせた最適な治療法をいっしょに考えていきます。
お一人で抱え込まずに、お悩みの時はぜひ一度ご相談ください。
| 治療期間 | 6ヶ月 |
|---|---|
| 治療費 | 保険診療 |
| 治療のリスク | 条件がわるければ予後不良となる可能性がある |











