親知らずを使った部分矯正

桶川の歯医者|アズ歯科 桶川院
2022.07.30

親知らずを使った部分矯正

左下奥歯の治療相談で来院された患者様です。

初診時のレントゲン写真です。

1番奥から2つ目の歯の根の周りが黒くなったいるのがわかりますか?

根の先に病巣があり、CTなどの検査結果から。治療で治すのはかなり難しい状態だとわかりました。

通常、抜歯後の治療方法として

1、インプラント

2、義歯

が挙げられます。

初診時の口の中の写真です。

今回の場合は、親知らずが隣に存在し虫歯もない状況です。

この親知らずを利用する場合

1、親知らずも抜歯し移植する方法

2、親知らずを矯正で動かす方法

があります。

1の特徴は

保険適用でできることです。

しかし、移植は成功しない可能性もあります。

また、移植後に神経の治療が必要になります。

一般的には移植した歯の生存率は平均して5−10年ほどと言われています。

2の特徴は

矯正治療で移動して使用するため、神経をとる必要もないですし

成功する確率が高くなります。

しかし、保険適用外のため金額がかかります。

患者様と治療方法を相談し、今回は矯正治療で進めていくことになりました。

まず奥歯を抜歯し、親知らずを引っ張るための準備をしていきます。

 

歯を引っ張る際、周りの歯が力で負けてしまうと他の部分の歯並びが変わってしまう可能性があります。

そのため、周囲の歯を固定し、力負けしないように装置をつけます。

矯正のゴムで歯を引っ張っていきます。

 

ある程度歯が動いてきたら、さらに強い力を加えるため、

矯正のネジ(矯正用インプラント)を使用します。

骨の中にネジを固定し、それを固定源に歯に矯正力を加えます。

 

内側から見た状態です。

動きに合わせてゴムの力を変えて、歯を引っ張っていきます。

段々と動いてきました。

 

実は今回、上の歯も一緒に矯正を行っています。

奥歯に大きな銀歯が入っており、親知らずが健康な状態のため

それの交換をし、虫歯のリスクなどを減らすためにすすめました。

治療前の状態

抜歯後の状態

 

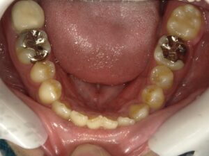
上下の矯正後の写真です。

 

治療前後で比較します。

上顎     治療前                治療後

下顎     治療前                治療後

治療前             治療後

 

保険診療に比べ、金額がかかるデメリットはありますが

噛み合わせも歯並びも綺麗に治るため、定期検診でチェックしていけば

長期的に維持することが可能になります。

他院では勧められない難易度の高い治療も様々な分野の専門医が在籍するため治療が可能になります。

保険内外で対応できる複数の治療方法を提案いたします。

アズ歯科桶川院へお気軽にご相談ください。

治療期間 1年6ヶ月
治療費  ¥300,000 + tax
治療のリスク 動かした歯が後戻りする可能性がある。

 

AS DENTAL CLINIC.
日本歯科医療評価機構

患者様満足度アンケートにご協力ください。

患者様により良い歯科医療を提供するため、
第三者機関に依頼して
満足度調査を行っています。
当院には患者様の個人情報は
一切伝えられません。
是非、たくさんのお言葉をお寄せ下さい。

また、当院では皆様から頂いたご意見をもとに、スタッフ全員で医院をよりよくしていく取り組みを実施しています。
当院について、お気づきになられた点などがございましたら、何でもお気軽にご意見をお寄せください。