親知らずは一般の歯科医院でも抜歯できる?
主訴
右下の親知らずが痛い。親知らずの痛みと腫れで来院された患者様です。
今までも何度か痛みは出ていたが薬を飲んでごまかしていた。
他の医院では抜歯できないため、大きい病院を紹介されたとのことです。
大きい病院だと都合も合いづらく、仕事もあり土日しか難しいとのことで、当院での処置を希望されました。
初診時の口腔内写真です。
右下の親知らずが横を向いているのがわかると思います。

親知らずと前の歯の間によく食べ物が挟まり痛みも出るそうです。
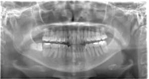
レントゲン写真
親知らずが真横を向き、手前の歯にぶつかっています。

その部分に汚れが溜まりやすくなっていますが、歯ブラシではなかなか落とすことが難しいと思われます。
また、歯科医院で定期的にクリーニングを行っても歯同士が接している下の部分まで汚れを完全に落とすことは難しいです。
体調を崩したり、疲れが溜まったりし、免疫力が低下してくるとこの部分の菌が影響し、痛みや腫れがでてくる場合があります。
汚れが溜まることで手前の歯の側面が虫歯になってしまう可能性が高く、その部分が虫歯になってしまうと治療が難しい箇所のため、親知らずの早めの抜歯をおすすめしました。
しかし、下図の赤い線で囲まれた部分は顎の中に通る神経や血管がある空洞です。
レントゲン上ではこの部分と親知らずの根の先が触れているように見えます。


この神経は唇や顎の感覚を司る神経です。
抜歯の際に無理な力でこの神経を圧迫してしまうと、唇や顎の一部に麻痺がでてしまう可能性があるため注意が必要です。
その麻痺は一時的で改善する場合とずっと残ってしまう場合があります。
そういったリスクを回避するため、当院では事前にCTを撮影し親知らずと神経の位置関係や、親知らずの向き、深さ、周囲の組織との距離などを3次元の画像で様々な角度から確認します。
実際の画像を患者様にも見せ、リスク、処置後の影響などを説明し同意を得て抜歯に移行します。

上記の様なCT画像で立体的に把握します。
今回は神経と親知らずの根の先端は近いですが、麻痺につながる可能性は低いと判断したため、抜歯に進むことになりました。
CT撮影は歯の状況によって保険適用内で撮影ができます。
患者様負担は約3,500円程度です。
今回の親知らずは横を向いているためそのまま取り出すことはできません。
歯茎に一部石灰を加え、親知らずを半分に分割して抜いていきます。
抜歯後の写真です。
出血などが苦手な方は避けるようにお願いします。
↓
↓
↓
↓
↓
歯がなくなり、抜いた穴が見えている状態です。

二つに切断し、抜歯しました。

糸で縫い、止血を確認後終了です。
処置後は数日中に消毒し、1週間程度で糸を抜きます。
今回も処置後は3日ほど鎮痛剤を飲めば痛みを感じず、腫れもほとんどなかったようでその後の生活にも支障はあまりでなかったとの事で喜んでいただけました。
ケースによっては大きく腫れる場合、しばらく痛みが続く場合もありますが、基本的には鎮痛剤の服用で痛みを抑えることができます。
また、処置中の痛みは麻酔でしっかりコントロールできますし、痛みを感じる場合は麻酔の追加で対応が可能です。
当院には口腔外科専門医が2名在籍しております。
また、他のドクターも口腔外科医院での研鑽を積んできています。
他の医院で大きな病院でないと抜歯できないと言われたケースでも当院では対応できる場合があります。
お気軽にご相談ください。
| 期間 | 1週間 |
|---|---|
| 来院回数 | 3回 |
| 金額 | 保険診療 |
| 治療によるリスク | 処置後の腫れ、痛みを伴う場合がある
抜歯後に麻痺が出てしまう場合がある |











