複雑な審美治療
前歯の治療相談で来院されました。
歯の変色と形が気になるとのことです。
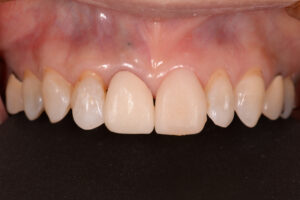
初診時の写真です。

向かって左側の前歯は被せ物が入っており、右側の前歯は神経を取ってありだんだん変色してきたそうです。
被せ物のやり直しと変色している歯はホワイトニングでの対応をおすすめました。
しかし、2本の歯の幅が合わず左右非対称になる可能性を説明し、右側の前歯は表面のみを削って付けるラミネートベニヤでの処置も行うこととなりました。
まず、左の被せ物を除去し変色した歯のホワイトニングを進めます。

歯の色はだいぶ自然になりました。
ホワイトニングをせずに被せ物だけで治そうとすると、中の歯の色を拾い、暗い色の被せ物になってしまうため、とても重要な作業です。
その後、歯の表面を薄く削り


仮歯を装着します。

形が左右対称になりました。
この状態を参考に型取りを行いセラミックに作製に移行します。
作製したセラミックは口の中の唾液に汚染されないよう、ラバーダムと呼ばれるゴムのカバーで保護した状態で装着していきます。

装着後の写真です。

治療前後で比較します


色、形とも自然な状態に仕上がり、とても喜んでいただけました。
今回はセラミック、ラミネートベニヤ、ホワイトニングと複雑な治療内容での対応となりました。
審美治療は見た目の改善だけでなく機能の改善も重要になってきますし、それがいかに長くもつかを考えて治療を行う必要があります。
アズ歯科桶川院では、様々な審美ケースの治療を行っており経験豊富な医師が多数在籍しています。
お気軽にご相談ください。
| 治療期間 | 3ヶ月 |
|---|---|
| 治療費 | ¥250,000 + tax |
| 治療のリスク | セラミックが割れる可能性がある |











