虫歯の取り残し?
桶川にある歯医者、アズ歯科桶川院の歯科医師、中村です。
「1ヶ月前に虫歯の治療をしたのに痛みがおさまらない」
というお悩みをお持ちの患者さんが来ました。

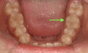
矢印の部分の歯が痛いようです。

噛んだ時の様子です。

レントゲンを撮ってみます。
矢印の部分が白く見えますが、
これは1ヶ月前に虫歯を治療された時の詰め物です。
歯の神経、歯髄の近くまで削って詰めているようです。

痛みの状態から、
この白い詰め物の周りに虫歯が残っている可能性があるため、
削って取ってみます。

削る前の様子です。

詰め物を削っていくと、奥に本来の歯が見えてきます。
なんと黒くなっており、虫歯がまだ残っています。

虫歯になっている部分を慎重に削って除去していきます。
歯の内部の神経がうっすら見えてきています。

虫歯を青く染める染色液で、虫歯の取り残しがないかチェックします。
神経の近くにまだこんなにも虫歯が残っていました。

歯の神経が露出した際に唾液が触れてしまうと、
唾液中の細菌を神経に感染させてしまうおそれがあるため、
ラバーダムというゴム製のシートを歯の周りにかけます。
この状態で残りの虫歯を慎重に取り除きます。

神経がギリギリ露出しないところで虫歯をすべて取り除くことができました。
詰め物と神経が触れてしまいそうなところには、水酸化カルシウム製剤をおきます。
こうすることで第二象牙質の形成を促し、神経を保護するのです。

さらに、欠損した部分をコンポジットレジンという材料で詰めます。
これで元の歯の形を再現し、この歯を再び噛めるようにするのです。

矢印の部分が当院で治療した詰め物です。
機能させるように形を作ると、自然と他の歯と形が似てきます。
治療の前後を見比べてみましょう。
治療前

治療後

治療前

治療後

治療前

治療後

パッと見て、表面上はそこまで差はありません。
しかし、詰め物の奥に残っていた虫歯を取り切ったことで、痛みが改善してくれたら治療は成功です。
このように、
「虫歯治療をしたけれど、症状が改善しないぞ?」
という場合、
残念ながら根本的に虫歯が取り切れていない可能性もあるのです。
マイクロスコープを使って視野を拡大した状態で治療されていますか?
虫歯治療の精度に不安がある方は一度ご相談ください。
| 治療期間 | 1日 |
|---|---|
| 治療費 | 保険診療 |
| 治療のリスク | 根管治療が必要になる可能性がある |











