短い歯は引っ張り出せばまだ使えるかも

桶川の歯医者|アズ歯科 桶川院
2025.04.28

短い歯は引っ張り出せばまだ使えるかも

歯が折れたり、欠けてしまい、抜歯をすすめられた経験はありませんか。

歯自体が縦に割れてしまったり、大部分を欠損してしまった場合など、抜歯しか方法がないこともあります。

しかし、ケースによっては歯を保存することができます。

今回は他院で前歯の抜歯をすすめられ、その後ブリッジかインプラントで迷っているため相談したいと来院されたケースです。

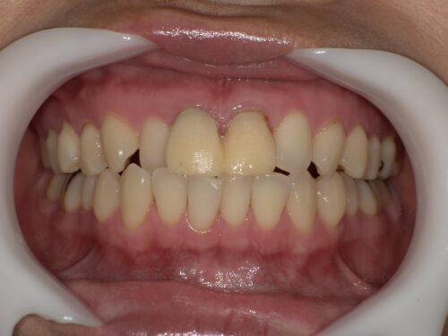
初診時の写真です。

上の前歯2本に仮歯が入っています。

外して中の歯を確認します。

向かって右側の歯は残っている部分がほとんどなく、歯茎の中に歯が埋もれてしまっています。

この状態だと抜歯が必要な訳ではありませんが、歯茎が邪魔をしてしまい被せ物を作るための型取りの精度が落ちるため、不十分な治療になってしまいます。

下図の様に、神経を取ってある歯は歯の内部にコアと呼ばれる土台を差し込み、その上から被せ物を装着します。

この時、周囲に歯が残っていれば被せ物は歯にくっつきますが、今回のように周囲に歯が残っていない場合はコアのみにくっつくため、コアごと脱離してしまう可能性が上がります。

そのため、この歯1本では被せ物を支えるのが難しく、装着後も外れやすくなってしまうため、隣の歯と連結した被せ物を作製する必要があると考えます。

それにより連結した隣の歯にも負担がかかってしまいます。

そのことを考えると、抜歯の選択も妥当だと思います。

しかし、患者さんは可能であれば歯を保存することを希望しています。

今回は歯が横に折れていますが、縦に割れている訳ではないので、治療内容によっては保存可能と判断しました。

患者さんにおすすめした内容は

矯正治療にて歯を歯茎から引っ張り出す方法です。

レントゲンで確認すると、歯は歯茎の中、骨の中には残っているため、引っ張り出してあげれば、まだ被せ物を作ることは可能だと説明しました。

同意を得たため、矯正装置を装着していきます。

歯の内部に引っ張り出すためのフックを固定します。

 

仮歯を装着し、審美面を配慮します。

裏側はこうなっています。

仮歯の裏側にワイヤーと矯正用のゴムを使用し、歯を引っ張り出す仕組みです。

ゆっくり歯を動かすため、ほとんど痛みは感じません。

少しづつ歯を引っ張り出していきます。

歯が出てきました。

歯を引くと歯茎も一緒についてくる場合があります。

歯茎の高さがずれているため、電気メスを用い揃えていきます。

レントゲンで確認します。

歯が出てきたことで、根の先端の高さがずれているのが分かると思います。

治療前後で比較します。

治療前

治療後

歯茎の中に隠れていた状態から、歯が出てきています。

矯正で動かした歯は後戻りする可能性があるため、仮歯の状態で経過観察を行います。

その後、仮歯を修正し最終的な被せ物を作製します。

治療終了時です。

歯は被せ物を作れる状態にはなりましたが、引っ張り出したことで骨の中に埋まっている根が短くなり、将来的に歯周病などが進んだ場合に揺れてしまう可能性があります。

そのため、今回は隣の歯と繋いで被せ物を作製しました。

今後は定期検診で状態の変化がないかチェックしていきます。

歯によっては本当に抜歯しないといけない状況の時もあります。

しかし、現在歯を保存するための様々な方法が考えられています。

他院で抜歯と言われてしまった場合も別の治療方法を提案できるかもしれません。

お気軽にご相談ください。

治療期間 5ヶ月
治療費 ¥300,000 + tax

内訳   矯正費用¥100,000

セラミック¥200,000

治療のリスク 治療期間が伸びる場合がある

矯正治療により歯茎が下がる可能性がある

治療後に歯が後戻りする可能性がある

AS DENTAL CLINIC.
日本歯科医療評価機構

患者様満足度アンケートにご協力ください。

患者様により良い歯科医療を提供するため、
第三者機関に依頼して
満足度調査を行っています。
当院には患者様の個人情報は
一切伝えられません。
是非、たくさんのお言葉をお寄せ下さい。

また、当院では皆様から頂いたご意見をもとに、スタッフ全員で医院をよりよくしていく取り組みを実施しています。
当院について、お気づきになられた点などがございましたら、何でもお気軽にご意見をお寄せください。