入れ歯、作りませんか?
歯周病が進行し、自然に歯が抜けることがあります。
自然に抜けるということは、
物が噛めないほどグラグラしているような状態です。
そのため、
歯が抜けて急に食事がしづらくなり困った、
とはならず、
歯科医院を受診せずにそのままにしてしまうことがあるようです。
その場合、歯がないため、
うまく咀嚼できなくなり、
食べ物をそのまま飲み込んでしまうようになったり、
歯を支えていた骨が痩せてしまうため、
顔の形も変わってきてしまいます。
食べる機能が失われているため、その機能を回復させる治療が必要になります。
その一つの方法が、入れ歯です。
それでは、実際の治療をお見せします。

「歯が抜けてしまったけど、今までそのままでした」
とお話しになった患者さんです。
残っている歯はグラグラで、噛みづらくなってきたとのことでした。
このままでは、うまく咀嚼できずに丸飲みするようになってしまい、
誤嚥してしまったり、胃をわるくしてしまうこともあります。
歯周病の進行が著しく、治療をして歯周病が治る状態ではないため、
抜歯して、入れ歯を作る治療計画を立てました。

抜歯後の状態です。
歯を抜いた部分の傷も治り、残った歯ぐきが見えています。
この歯ぐきの型をとり、ピッタリの入れ歯作りを始めます。
型をとったら、咬み合わせをみたり、
歯の位置にズレがないか確認する段階をふむので、
型とりから2~3回来院していただき、入れ歯を完成させます。

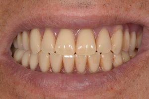
完成した入れ歯をつけた状態です。
見た目も良くなりましたね。
以前は柔らかいものしか食べられなかったけど、
今は好きなものを何でも食べられるようになったと喜んでくれました。
こんなに簡単にできることなら、もっと早く治療しておけばよかったなぁ、
ともお話しになっていました。
治療前

抜歯後

入れ歯完成後

食べられるようになることは、健康を保つためにとても重要なことです。
また、見た目のイメージも大きく変わります。
歯がグラグラだけど、まだなんとか噛めるし、
このままでいいやと諦めてしまっていませんか?
入れ歯を作って、心身ともに健康的な生活を送りましょう。
お口のことでお困りごとがあれば、アズ歯科桶川院へご相談ください。











