前歯の審美治療
前歯に入っている差し歯のやり直しを希望し来院された患者様です。
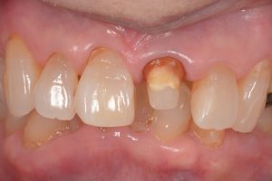
初診時の写真です。

かなり昔に治療を受けたとの事で、周囲の歯と大きく色がずれ、かけてしまっているのがわかります。

色と形を合わせるため、差し歯の作り直しを進めていくことになりました。
まず、被せ物を除去します。

神経の治療をすでに受けており、金属の土台が埋まっている状態です。
以前の治療がだいぶ古いため、根管治療のやり直しから進めていきます。
根管治療後です。


根管治療後、根の内部は充填材で埋まります。
しかし、強度としては十分とは言えず、そのままの状態では被せ物は作製できません。そのため根の内部を埋め補強し、全体の形を整える必要があります。
また、口の中には多くの菌が存在し、根管治療が問題なく終わっていてもその菌が根の内部に入ってしまうと再度感染を起こしてしまいます。 それを防ぐため内部を緊密に埋め、菌が入ってしまう経路をできる限りなくしていきます。 この処置を支台築造と呼びます。 レジンと呼ばれる医療用の樹脂を使用し歯の内部を封鎖し補強します。
従来の治療では型取りを行い、金属の土台を装着していましたが、金属が硬く歯へのダメージを考慮し、現在では歯の硬さに近いレジンとしなやかさがあるグラスファイバーを使用しています。 また、当院では状況に応じて、ラバーダムを使用し口の中の菌が歯の内部に入らないよう注意しながら支台築造を行っております。
支台築造後です。

治療開始の段階から仮歯を作製しておきますが、土台が入った段階で最終的な形態にできるだけ近い形に仮歯を調整していきます。
また、患者様と相談しこの状態から周りの歯の色を少し明るくするためのホワイトニングを行っていきます。

形、色に問題がなくなり経過を見てから、最終的な被せ物の作製に移ります。
歯の色の記録をとり、型取りを行います。

できあがったセラミックを装着します。

自然な色合い、形に仕上げることができました。
治療前後です。


今後、被せ物や歯に問題がでないよう定期的な噛み合わせのチェック、歯周病の検査が必要になります。
様々なケースの審美治療を行っております。
アズ歯科桶川院にお気軽にご相談ください。
| 治療期間 | 約3ヶ月 |
|---|---|
| 治療費 | ¥100,000 + tax |
| 治療のリスク | 被せ物がかけてしまう可能性がある |











