何歳まで矯正できるの?
歯ならびを治したいけど、それって子どものする治療だし、、
なんて思っていませんか?
歯ならびを治す矯正治療に年齢制限はありません。
歯周病や虫歯がひどい歯でなければ、
何歳になっても歯を動かすことはできます。
「鏡で見ていて前歯が気になる」
「奥歯がずれていて噛みづらい」
というお悩みがあれば、矯正治療を考えてみましょう。

前歯の重なりが気になるというお悩みをお持ちの患者さんです。
ご年齢は60代の方です。

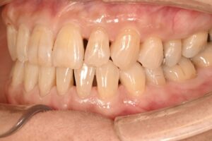
横から見ると、下の前歯が少し凹んでいます。
その辺りの歯の重なりを治したいですね。

上下の歯ならびを別の角度から見ています。
下の歯がガタガタしているのがわかります。
今回は、歯の移動量、方向、治療期間の観点から、
マウスピース矯正を選択しました。

シミュレーションで赤く示されている突起の部分がアタッチメントと呼ばれる装置です。
「歯を3次元的に動かす力」をしっかり加えるために必要なのです。
実際には白いプラスチックでできており、見た目はそれほど目立ちません。
このアタッチメントを歯に接着して、
それにピッタリ合うマウスピースを指定の枚数使用することで、
シミュレーション通りに歯を動かしていきます。
それでは、治療の前後を比較してみましょう。
治療前

治療後

シミュレーション通りに歯が移動しました。
下の前歯の重なりが解消して歯みがきしやすくなりました。
治療前

治療後

下の前歯の凹みがなくなり、きれいになりました。
治療前

治療後

実は上の前歯も、下の前歯の移動に合わせて並んでいるのがわかりますか?
上下どちらかではなく、上下一緒に歯ならびを治すことで、
しっかり噛めるようにできるのです。
シミュレーション通りに歯がきれいに並びました。
今回は、2週間ごとに1枚ずつ、20枚のマウスピースを使って治療したので、
9ヶ月ほどで終了しました。
この後は、歯が元の位置に後戻りしないように、
リテーナーと呼ばれるマウスピースを使用することになります。

いかがでしたか?
この患者さんは60代の方でしたが、治療期間は20代の方と変わりませんでした。
年齢とともに歯の位置は少しずつずれてくることがあります。
磨きづらいとか、見た目を治したいと思った時、
歯ならびを治すという治療の選択肢を考えてみてください。
歯周病や虫歯でわるくなっていなければ、
何歳になっても歯を動かす矯正治療は可能です。
桶川市で矯正をお考えの方は、アズ歯科桶川院までお越しください。
| 治療期間 | 9ヶ月 |
|---|---|
| 治療費 | ¥450,000+ tax |
| 治療のリスク | 矯正後に歯が後戻りしてしまう可能性がある |











