2021.09.23
ワイヤー矯正 -1年経過-
歯並びの相談で来院された患者様です。
矯正の方法、期間、金額などの説明を行い、検査を希望されたため精査していきました。
矯正においては抜歯ケース、非抜歯ケースに分かれます。
それぞれメリット、デメリットがあります。
今回は口元をしっかり下げる治療計画に決定したため、非抜歯ですすめると歯はきれいに並ぶが口元の下がる量が少ない診断結果になりました。
また、マウスピースの場合目立たないといったメリットはありますが、1日20時間以上装着していないと効果が不十分になる可能性があり、相談の結果、抜歯しワイヤーで矯正していく治療方法となりました。
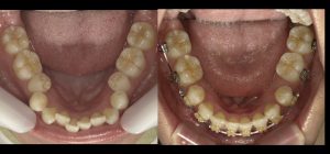
矯正治療前と開始後1年経過時の比較です。


抜歯したスペースを閉じながら、歯の並びを整え口元の改善を目指している途中です。
ここまで大きなトラブルもなく装置も順調で歯磨きも上手に行えています。
細かい噛み合わせの調整や経過観察も含めあと1年程度かかる予定です。
| 治療期間 | 2年 |
|---|---|
| 治療費 | ¥900,000 + tax |
| 治療のリスク | 後戻りする可能性がある |











