セラミッククラウン

桶川の歯医者|アズ歯科 桶川院
2021.10.29

セラミッククラウン

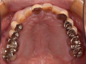
奥歯の銀歯が目立って気になる事を主訴に来院された患者様です。

 

初診時の写真です。

 

昔治療した際に保険診療を選択し、銀歯を入れたものの目立つのがずっと気になっていたとの事です。

奥歯はブリッジになっているため、現在の治療でも保険診療では同じような銀歯になってしまう事、金属の変形や摩耗などによる虫歯のリスクなどを説明しました。

今回は保険外診療の審美治療で対応することになりました。

一般的なセラミックの中にも種類は様々ありますが、ブリッジのため強度が必要になり、審美的にも優れているジルコニアを使用していきます。

ジルコニアは人工のダイヤモンドとも呼ばれ、高い強度を持ちながら透明感があり色のコントロールによって様々な色調のケースに対応できる材質です。

仮歯で一定期間経過観察し、問題が出ないことを確認後ジルコニアを装着していきます。

治療後の 写真です。

 

前後で比較します。

自然な色合いで作製することができました。

人前で口元を見せること、笑ったりすることにも自信が持てるようになったと喜んでいただけました。

ジルコニアなどのセラミックは汚れがつきづらく、虫歯のリスクは軽減されますが、歯周病や噛み合わせの定期的なチェックは必要です。

アズ歯科桶川院では、様々な審美治療に対応しています。

お気軽にご相談ください。

治療期間 4ヶ月
治療費  ¥600,000+ tax
治療のリスク 中の歯が割れてしまう可能性がある

 

AS DENTAL CLINIC.
日本歯科医療評価機構

患者様満足度アンケートにご協力ください。

患者様により良い歯科医療を提供するため、
第三者機関に依頼して
満足度調査を行っています。
当院には患者様の個人情報は
一切伝えられません。
是非、たくさんのお言葉をお寄せ下さい。

また、当院では皆様から頂いたご意見をもとに、スタッフ全員で医院をよりよくしていく取り組みを実施しています。
当院について、お気づきになられた点などがございましたら、何でもお気軽にご意見をお寄せください。