セラミックインレー

桶川の歯医者|アズ歯科 桶川院
2022.03.09

セラミックインレー

金属の詰め物(インレー)を白くしたいという希望からセラミックの詰め物にした治療をご紹介します。

 

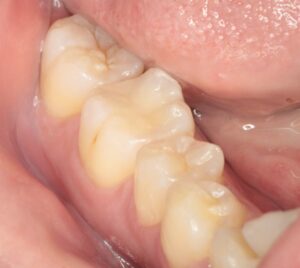
下の奥歯で目立つ部分でした。

 

噛み合わせに問題がないか確認します。

 

金属の詰め物を外したところです。

内部で虫歯が少し進行していました。

 

虫歯を治療した後に、セラミックの詰め物を作るために型を取ります。

 

シリコンという寸法精度の高い型取りの材料を使うことで、

歯の形を模型に精密に再現することができます。

 

白い詰め物なのですが、白といっても一色ではなく、

患者さんのその歯の色に合わせて詰め物を作ります。

その色合わせをしているところです。

 

そうして出来上がったセラミックの詰め物(インレー)です。

歯とくっついているシステムも金属とは異なり、

接着することで歯と一体となり、パッと見て境目がわからないほどになりました。

 

歯との隙間がなくなれば虫歯の再発防止にもつながります。

ご興味のある方はアズ歯科桶川院にご相談ください。

 

 

治療期間 2週間
治療費  ¥50,000+ tax
治療のリスク セラミックが欠ける可能性がある。

 

AS DENTAL CLINIC.
日本歯科医療評価機構

患者様満足度アンケートにご協力ください。

患者様により良い歯科医療を提供するため、
第三者機関に依頼して
満足度調査を行っています。
当院には患者様の個人情報は
一切伝えられません。
是非、たくさんのお言葉をお寄せ下さい。

また、当院では皆様から頂いたご意見をもとに、スタッフ全員で医院をよりよくしていく取り組みを実施しています。
当院について、お気づきになられた点などがございましたら、何でもお気軽にご意見をお寄せください。