ジルコニアインレー

桶川の歯医者|アズ歯科 桶川院
2022.09.20

ジルコニアインレー

「奥歯の詰め物が欠けた」

歯医者に来られる患者さんからよく耳にするお悩みです。

 

奥歯に白い詰め物をしていた患者さんです。

詰め物の色がくすんでおり、フチの部分にも着色がみられるので接着も弱くなっていたようです。

変色するということはセラミックではないと考えられます。

欠けたままにしていると磨き残しが溜まりやすくなり、虫歯になるリスクが上がります。

 

レントゲン写真です。

接着が弱くなっていると、内部で虫歯が再発するリスクもあります。

残っている古い詰め物を外し、歯の内部をキレイにした後、新しく詰め直しましょう。

 

詰め物を外しました。

内部の象牙質という部分が見えているので、黄色く見えます。

この範囲を再び詰め直すことになります。

この詰め物のことをインレーと呼びます。

 

別の角度から見たところです。

この部分に詰め物が入っていました。

下の奥歯が噛み込んでいるのがわかります。

詰め物のスペースが薄いようです。

 

型をとって模型にしました。

先程の噛み込んでいる状態を再現しています。

 

下の奥歯はこんな形です。

このでっぱりが上の奥歯のくぼみに入ります。

ここは虫歯ではないため、極力削りたくない部分です。

 

詰め物が入るスペースがこちらです。

くぼんでいるのがわかります。

今回、詰め物の厚みをあまり確保できなさそうです。

となると、詰め物が割れないように強度のある材質を選ぶ必要があります。

保険治療では銀歯ということになりますが、表面が経年的に劣化しやすく、そうするとプラークがつきやすくなります。

自費治療では、白い詰め物のジルコニアという材質がおすすめです。

 

人工ダイヤモンドとも呼ばれるジルコニアは強度が高く、

強い力がかかる奥歯にも適用できるセラミックです。

表面がツルツルしているのでプラークが付きづらく、虫歯予防にもアドバンテージがあります。

硬い材料なので傷も付きづらく、着色もみられないことから、経年的に”もち”が良いと言えます。

 

歯の色を再現するために色合わせをしています。

歯科で用いられるジルコニアは白い材料ですが、透明感をあまり再現できません。

なので、透明感のある歯には見た目がキレイに馴染まない場合があります。

 

このくぼみに合わせて作ったジルコニアが、

 

こちらです。

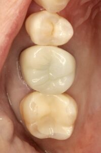
ピッタリとハマっています。

適合が良く、色も近いと、境目がわかりづらくなります。

 

別の角度からの写真です。

こう見ると、透明感の違いから詰め物の範囲がわかりますね。

上の奥歯をこの角度から見ることは普段ないので、あまり気になることではないかもしれません。

大事なのは、

 

またこのように欠けないようにすることです。

どんな治療を選んだとしても、

「今後ずっと大丈夫」とは言えませんが、

できるだけそうならないようにしたいものです。

 

そのために大事なのは、

 

①噛み合わせを考える

→ 詰め物の厚みを確保することが難しい場合は、強度の強い材料を選択する

②精度の高い詰め物を作る

→ 型取りにシリコンという材料を使用する、くぼみを作る歯科医師や詰め物を作る技工士の技術力も重要

 

 

歯の治療には様々な選択肢があります。

どんな方法があるのか、それぞれのメリットやデメリットを考え、

適した方法を選ぶことは大切なことです。

保険治療でできる範囲で治す場合、選択肢が限られることがあります。

自費治療の内容で気になるものがあればアズ歯科桶川院までご相談ください。

 

治療期間 1ヶ月
治療費  ¥50,000 +tax
治療のリスク 欠けたり外れたりする可能性がある

 

 

 

AS DENTAL CLINIC.
日本歯科医療評価機構

患者様満足度アンケートにご協力ください。

患者様により良い歯科医療を提供するため、
第三者機関に依頼して
満足度調査を行っています。
当院には患者様の個人情報は
一切伝えられません。
是非、たくさんのお言葉をお寄せ下さい。

また、当院では皆様から頂いたご意見をもとに、スタッフ全員で医院をよりよくしていく取り組みを実施しています。
当院について、お気づきになられた点などがございましたら、何でもお気軽にご意見をお寄せください。