その歯のすき間治しませんか?
鏡を見て自分の歯並びで気になるところはありませんか?
全体的にはそんなに悪くないけど、少しだけ気になるといった方もいらっしゃると思います。
当院にもそんな方々が最近多く来院されます。
矯正治療は以前からあるワイヤー矯正に加えて、マウスピース矯正の技術が発展してきたことで患者さんが検討しやすくなってきていると思います。
今回は当院に長く健診で通っていただいている患者さんからの相談です。
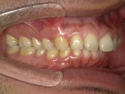
口腔内写真です。



全体的には歯並びは悪くないが、前歯のすき間と少し前に出ていることが少し気になるとのことです。
以前から気になってはいたが、ワイヤーつけての矯正には抵抗があり、今回マウスピース矯正について教えてほしいとの希望です。
マウスピース矯正は口腔内カメラや型取りによって資料をとり、患者さんの顎にあったオーダーメイドのマウスピースを作成します。
基本的には食事、歯磨き以外の1日に20ー22時間使用していただき、1週間程度同じマウスピースを使用し少しずつ歯を動かしていきます。

ワイヤー矯正に比べ大きな痛みが出づらい場合もありますし、外せるため食事、歯磨きへの支障も少なくなります。
また、透明の装置のため見た目にも影響が少なくワイヤー矯正に比べ取り組みやすい治療です。
しかし、ケースによっては適していなかったり、ワイヤー矯正の方が向いている場合もあるため注意が必要です。
さて、今回のケースです。
すき間を閉じたい、前歯を少し下げたいことが主訴になります。
この場合、マウスピース矯正はとても向いていると考えます。
患者さんに説明し、検査のための資料とりを行います。
そして矯正治療のシュミレーションを作成し一緒に確認してもらいます。
現在の状態です。



画像でどのくらいの隙間が空いているかの計測を行い、どのように歯を動かしていくかシミュレーションします。
患者さんにも見てもらい、修正点の確認をします。
完成した治療後のイメージです。



患者さんと事前に治療ゴールを共有することで、イメージのずれをなくしてから治療を開始していきます。
矯正治療が終了しました。

治療前後で比較します。






前歯の隙間もなくなり、内側に入れることもできました。
矯正治療中の痛みもなく、シミュレーション通りの結果になり、とても喜んでいただけました。
取り外しが可能なため、食事、歯磨きの支障もなく普通通りの生活ができたことがとても楽だったとのことです。
最近だと、昔受けた矯正の後戻りが少しだけ気になり、マウスピース矯正で短期間で治す方も増えてきています。
矯正治療は患者さんによって適した方法が異なります。
マウスピース矯正のみだと難しい場合もあります。
そのため、マウスピース矯正だけではなくワイヤー矯正でも対応できる矯正専門医のいる医院での矯正をお勧めしています。
当院は矯正専門医3名、マウスピース矯正担当医が3名勤務しております。
口腔外科専門医と連携した難しいケースにも対応可能です。
お気軽にご相談ください。
| 治療期間 | 6ヶ月 |
|---|---|
| 治療費 | ¥400,000 + 検査料(¥30,000) + tax |
| 治療のリスク | 治療期間が伸びる場合がある
矯正治療により歯茎が下がる可能性がある 治療後に歯が後戻りする可能性がある |











