抜歯即時義歯って?
「歯を抜いた後には、また噛めるようにするために入れ歯を作ります」
っていうのはなんとなくイメージがわくと思います。
ですが、
実際には歯を抜いた後に歯ぐきがキレイに治ってから
入れ歯を作るのが一般的です。
歯ぐきが治るまでは抜く歯の大きさによりますが、
おおむね2〜3ヶ月はかかります。
小さな入れ歯であれば、
もしくはすでに使っている入れ歯があれば、
その期間、新しい入れ歯は作らずに
そのまま様子を見ることもできるかもしれませんが、
入れ歯ができるまで待ってられない!
なんてこともあると思います。
そんな時にオススメなのが「抜歯即時義歯」です。
歯を抜く前から入れ歯を作り始めて、
歯を抜いた日に新しい入れ歯を使い始める治療法です。
治療の例を見てみましょう。

上の奥歯と、下の前歯は歯周病が重度で抜歯をすることになりました。
残っている歯が少ないので、
歯を抜いた後に入れ歯を作り始めるまで数ヶ月待つのは辛いですよね。
そこで、
抜歯をする前から入れ歯を作り始めることにしました。
まだ歯があるうちに型をとって、
入れ歯を作り始め、
出来上がったら歯を抜いて、
その日のうちに入れ歯を使い始めるのです。

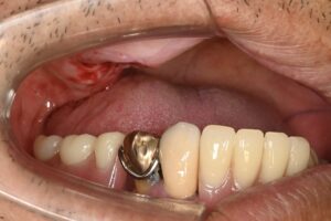
まずは上下の歯を抜いて、
下の入れ歯を、

つけます。
次に、上の入れ歯を、

つけます。
どうでしょう。

あっという間に、

入れ歯が入りました。
抜歯をした即日に新しい入れ歯を使い始めることができるのです。
これなら歯を抜いた後に食べづらい期間はありません。
しかし、
歯を抜いた直後は歯ぐきが少し腫れたり、
少し期間が経ったら今度は歯ぐきが痩せたりと、
歯ぐきの形は抜歯後に変動するのです。
なので、
抜いた後、数ヶ月は、
その時々の歯ぐきの形に合わせて
入れ歯の形を調整する必要があります。
ですが、
その期間も入れ歯を使って食事をとることができます。
歯がグラグラしていて抜かなきゃいけないと言われている方には、
ぜひオススメしたい治療法です。
ぜひアズ歯科桶川院へご相談ください。
| 治療期間 | 3ヶ月 |
|---|---|
| 治療費 | 保険治療 |
| 治療のリスク | 義歯の適合を改善させる必要がある |











