2019.02.21
前歯のインプラント
| 治療前 | 治療後 |
|---|---|
![]() |
![]() |
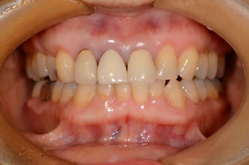
主訴:前歯ぐらつく
治療内容
上の前歯2本を抜歯し、インプラントを行い
セラミックを装着
お口のことでお困りごとがあれば、アズ歯科桶川院へご相談ください。
| 治療期間 | 1年 |
|---|---|
| 治療費 | 約800,000円 + 税 |
| 治療のリスク | インプラントも歯周病になる可能性がある |



患者様により良い歯科医療を提供するため、
第三者機関に依頼して
満足度調査を行っています。
当院には患者様の個人情報は
一切伝えられません。
是非、たくさんのお言葉をお寄せ下さい。
また、当院では皆様から頂いたご意見をもとに、スタッフ全員で医院をよりよくしていく取り組みを実施しています。
当院について、お気づきになられた点などがございましたら、何でもお気軽にご意見をお寄せください。