2019.02.21
全顎治療
| 治療前 | 治療後 |
|---|---|
![]() |
![]() |
| 治療前 | ||
|---|---|---|
![]() |
![]() |
![]() |
| 治療跡 | ||
|---|---|---|
![]() |
![]() |
![]() |
| 治療前 | |
|---|---|
![]() |
![]() |
| 治療跡 | |
|---|---|
![]() |
![]() |
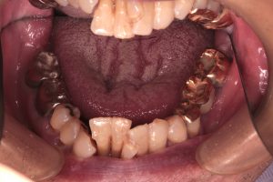
主訴:全体的な治療希望
治療内容
重度歯周病による歯の揺れと奥歯で噛めない事を主訴に来院されました。
歯周病治療を行い、歯茎の改善を確認後、噛み合わせや清掃性の改善のため
矯正治療を行いました。
左上の奥歯はインプラントを行い、左でもしっかりと噛める噛み合わせを作りました。
改善した噛み合わせに変化が出ないようマウスピースを作成し終了しました。
このようなお悩みがある方は、アズ歯科桶川院へ。
| 治療期間 | 1年半 |
|---|---|
| 治療費 | 約2,000,000円 + 税 |
| 治療のリスク | 被せたセラミックがかけてしまう可能性がある また、歯周病が再発する可能性がある |























