1本歯がない部分の治療法-インプラント-

桶川の歯医者|アズ歯科 桶川院
2022.10.13

1本歯がない部分の治療法-インプラント-

埼玉県桶川市にある歯医者、アズ歯科桶川院の歯科医師鈴木です。

今回は奥歯を1本抜歯後にインプラントを選択された患者様のケースです。

左下の奥歯の痛みで来院されました。

口腔内とレントゲン撮影によって診査していきます。

上のレントゲン写真で右奥から3番目の根の部分が黒く見えるのが分かるでしょうか。

根が割れてしまい、そこからの菌の感染によって周囲の骨が溶け、レントゲンで黒い像として表れています。

根の先の問題であれば根管治療のやり直しによって改善できる場合もありますが、今回のように割れている場合の治療方法は抜歯になってしまうことが多くあります。

抜歯の必要性を説明し、承諾をいただきました。

抜歯後の処置を事前に決めておいた方が、その後の治療がスムーズに進むことが多くあります。

インプラントを事前に検討している方の場合、特に抜歯した後の骨の温存が大切になるため、抜歯直後にコラーゲンを填入することをおすすめしています。

 

抜歯後コラーゲンを填入し、2ヶ月ほど治癒を待ちインプラントの処置を行いました。

インプラント後のレントゲン写真です。

事前にシミュレーションしていた通りの位置に入れることができています。

この状態で骨としっかり結合するまで2−3ヶ月ほど待ちます。

 

治癒待ち後の写真です。

インプラントに封鎖するためのカバーが付いている状態です、

この状態から型取りを行い仮歯を作っていきます。

 

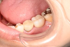
仮歯が入った状態の写真です。

医院によっては仮歯を作らず、一度で完成にしている場合もありますが、当院ではまず仮歯を作り噛み合わせや清掃性などの問題点がないかどうか確認後、その形を参考に最終的な被せ物を作製していきます。

 

できるだけ周囲の歯と色を合わせた方が自然に見えるため、色の記録をとり、できるだけ色を合わせて作製します、

 

最終的なセラミックを装着した状態です。

       

骨の状態や周囲の歯との移行性など問題なく、キレイに作製することができました。

何も違和感なく、自分の歯と同じように噛めると喜んでいただけました。

 

ブリッジや入れ歯も設計をしっかり考え、治療過程を丁寧に行えば良い治療にすることはできると思います。

しかし、インプラントのように周囲の歯への影響がない治療方法は他にはありません。

抜歯になってしまう方、すでに歯がない部分があり今後どうしようかと考えている方、患者様によってそれぞれ最良な治療方法があります。

アズ歯科桶川院までお気軽にご相談ください。

治療期間 7ヶ月
治療費 ¥400,000 + tax
治療のリスク インプラントが歯周病になる可能性がある

 

AS DENTAL CLINIC.
日本歯科医療評価機構

患者様満足度アンケートにご協力ください。

患者様により良い歯科医療を提供するため、
第三者機関に依頼して
満足度調査を行っています。
当院には患者様の個人情報は
一切伝えられません。
是非、たくさんのお言葉をお寄せ下さい。

また、当院では皆様から頂いたご意見をもとに、スタッフ全員で医院をよりよくしていく取り組みを実施しています。
当院について、お気づきになられた点などがございましたら、何でもお気軽にご意見をお寄せください。