矯正治療 → 小学生で始めるメリット
小学生くらいのお子さんで矯正治療を始める方は多いと思います。
では、
なぜそれくらいの年齢が多いのでしょうか?
答えは、顎の成長に関係しています。
大人、
もう少し丁寧に説明すると、
身長の伸びが止まっている方。
その方はもう顎が大きくならないのです。
歯の大きさに対して顎が小さいと、
歯ならびが窮屈になります。
すると、ガタガタな歯ならびとなります。
顎がもう成長しない人は、歯を抜いたり削ったりして、
スペースを確保する必要があります。
矯正治療で抜歯が必要と言われた方はそういうことです。
対して、
まだ顎の成長に余力がある方は、顎を大きくして歯が生えてくるスペースを確保するのです。
それができるのが、
大人の歯に生え代わり始める小学生なのです。

一例として、このように入れ歯のような装置を使う治療法があります。
上顎は真ん中から左右に広がるように成長するので、そこを利用します。
真ん中の部分をくるくる回して、装置を左右に押し広げること数週間、、、

顎はこのように左右に広がり、無事に歯が生えてくるスペースが確保されるのです。

実際に上記の治療をされた患者さんです。
治療前はこのように歯並びのアーチが狭く、
これから生え代わる大人の歯がきれいにならばないと予想しました。
それに対する治療として、
先程ご紹介した装置を使用しました。

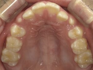
治療を始めた後の写真です。
大人の歯に生え代わりましたが、きれいな歯ならびのアーチになってきています。
スペースは十分に確保できてきたので、
ここからさらにきれいな歯ならびをご希望される場合は、
ブラケットと呼ばれる装置を用いて治療を継続します。
見比べてみましょう。
治療前

治療後

きれいになりましたね。
これは小学生のうちにした治療です。
このように、
小学生のうちにしかできない矯正治療もあるのです。
「うちの子はきれいに大人の歯に生え代わるのだろうか」
と心配されている方は、ぜひ一度アズ歯科桶川院までご相談ください。
矯正治療には様々な治療法があるので、
患者さんそれぞれに最適な治療をご提案します。
| 治療期間 | 約2年 |
|---|---|
| 治療費 | ¥450,000 + tax |
| 治療のリスク | 治療後に後戻りする可能性がある |











