歯の移植

桶川の歯医者|アズ歯科 桶川院
2021.08.12

歯の移植

健康な親知らずが残っていればうまく活かせる場合があります。

どこか周りの歯がダメになって抜歯をしないといけなくなってしまった際、その親知らずを移植し、新たな歯として機能させることができます。

ケースによっては難しい場合と保険適用外の場合もありますが。

 

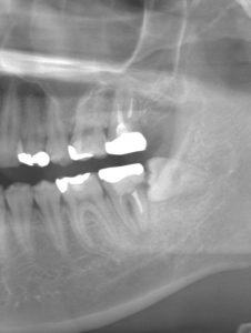
今回は左下の親知らずが横をむいて生えており、そのせいで手前の歯がダメになってしまったケースです。

処置前の写真とレントゲンです。

CTを用いて親知らずの深さや顎の中の神経との位置関係を調べます。

 

親知らずに大きな虫歯はなく、手前の歯とのサイズも近いことから患者様と相談の上移植をして保存を試みることになりました。

 

ここから血などが苦手な方は見ない方がいいかもしれません。

親知らずを抜歯します。

 

手前の抜歯した部分に親知らずを移植し、位置を決め固定します。

 

この状態で骨や歯茎とくっつくのを待ちます。

処置後1ヶ月の状態です。

歯の揺れもなくうまく移植できています。

一度抜歯してからの移植であるため、ここから歯の中の神経をとる治療をおこない被せ物で噛み合わせを構築していきます。

 

歯の状態によって適していない場合や、部位によっては保険が適用できない場合もあります。

様々なケースに対応しております。

アズ歯科桶川院へお気軽にご相談ください。

治療期間 2ヶ月
治療費  保険診療     約¥10,000
治療のリスク 移植したものが生着しない可能性がある

 

AS DENTAL CLINIC.
日本歯科医療評価機構

患者様満足度アンケートにご協力ください。

患者様により良い歯科医療を提供するため、
第三者機関に依頼して
満足度調査を行っています。
当院には患者様の個人情報は
一切伝えられません。
是非、たくさんのお言葉をお寄せ下さい。

また、当院では皆様から頂いたご意見をもとに、スタッフ全員で医院をよりよくしていく取り組みを実施しています。
当院について、お気づきになられた点などがございましたら、何でもお気軽にご意見をお寄せください。