子ども虫歯ってどんな色?

桶川の歯医者|アズ歯科 桶川院
2020.12.04

子ども虫歯ってどんな色?

虫歯のイメージって、何色ですか?

 

 

たいていの人は “黒” を思い浮かべるのではないでしょうか。

 

じつは、虫歯が黒くなるのは大人だけなのです。

 

 

 

そもそも、なぜ虫歯が黒くなるかというと、

 

虫歯菌が出す酸によって歯が溶ける → 溶けた部分が再石灰化する

という過程を繰り返していく中で、

 

歯に黒い色素が取り込まれることが原因なのです。

 

つまり、

一度虫歯になり始めてから、その部分が黒くなるまでには、

ある程度時間がかかるということです。

 

 

では、乳歯の虫歯はなぜ、黒くならないのでしょうか。

 

 

 

答えは、

「乳歯は永久歯(大人の歯)にくらべて、やわらかくて、虫歯の進行が早いから。」

 

 

 

先ほどお話ししたように、

虫歯が黒くなるには時間がかかるのですが、

乳歯が虫歯になって溶け始めると、

そのスピードが早すぎて、

あっという間に歯が溶けてスカスカになってしまいます。

 

 

なので、

ポチッと黒く見えてくる前に、歯の中にぽっかり穴があいてしまうのです。

 

 

 

 

 

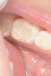
実際の写真を見てみましょう。

 

↑この写真のどこに虫歯があるのでしょうか。

 

 

 

 

 

じつは、ここでした。

 

これもかなり明るくして、写真をアップにして、やっとこんな感じで見えてくるのです。

 

 

 

 

虫歯になっている部分が青く染まる専用の薬で染め出してみると、、、

 

 

 

はい、こんな感じです。

 

 

 

そしてまたこの染まっている部分、虫歯になってしまっている部分をキレイに取り除いていくと、、、

 

 

 

 

 

なんと、虫歯はここまで大きくなっていたのです。

 

 

 

 

 

 

虫歯の治療を始めるまで、

こんなに虫歯が中で広がっているように見えましたか?

 

 

 

 

そうなんです。

子どもの虫歯は、こわいのです。

 

 

虫歯が進行するスピードが早くて、黒く見えないから、

気づかないうちに大きくなっているのです。

 

 

ちなみに、治療のつづきとしては、

 

 

こんな感じで、コンポジットレジンという材料で、

あいた穴を埋めることになります。

 

 

 

注意してほしいのは、

これは、歯が再生したわけではないということです。

 

 

もともとこの部分が虫歯になっていたということは、

ここがきちんと歯みがきできていなかったということです。

 

 

ということは、このコンポジットレジンで埋めたところを、

今後も同じように歯みがきできなければ、

 

コンポジットレジンを埋める前の状態、

つまり、

この残っている歯の内部から、

虫歯の進行が再スタートすることになります。

 

 

 

 

そうならないためにも、

 

① 虫歯になっていないかどうかの早期診断

② 日々の歯みがきがきちんとできているかのチェック

 

 

この2点の重要性をわかっていただけたでしょうか。

 

 

アズ歯科桶川院では、希望されるお子さん全員に、

みがき残しチェックのための染め出し、

写真撮影を含めた経過の確認を行なっております。

 

ぜひ、定期的な検診にお越しください。

お待ちしております。

AS DENTAL CLINIC.
日本歯科医療評価機構

患者様満足度アンケートにご協力ください。

患者様により良い歯科医療を提供するため、
第三者機関に依頼して
満足度調査を行っています。
当院には患者様の個人情報は
一切伝えられません。
是非、たくさんのお言葉をお寄せ下さい。

また、当院では皆様から頂いたご意見をもとに、スタッフ全員で医院をよりよくしていく取り組みを実施しています。
当院について、お気づきになられた点などがございましたら、何でもお気軽にご意見をお寄せください。