奥歯にこそインプラント

桶川の歯医者|アズ歯科 桶川院
2022.04.16

奥歯にこそインプラント

1番奥の歯がなくなってしまった場合の治療の選択肢として、

インプラント、入れ歯が考えられます。

両者は保険内外の治療方法で大きく異なるため、治療の選択に悩む患者様が多くいらっしゃいます。

それぞれの特徴を挙げていきます。

●入れ歯のメリット

保険適用

作製に伴う大きな治療を必要しない場合が多いため、全身状態や年齢関係なく治療可能

治療期間が短い

 

●入れ歯のデメリット

違和感があり慣れるまで時間がかかる

取り外して掃除が必要

噛む力が弱くなる

 

●インプラントのメリット

自分の歯と同じように噛める

審美的で違和感がない

他の歯と同じような歯磨きが可能

 

●インプラントのデメリット

保険適用外

外科処置が必要

治療期間がかかる場合がある

 

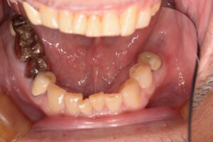
今回は奥歯を抜歯になってしまった患者様のケースです。

治療前の写真です。

この後、右下の奥歯も歯が割れてしまったことで抜歯になりました。

治療方法で入れ歯、インプラントの説明を行いました。

患者様が1番気にされていた部分は、以前のようにしっかり噛む事ができるかどうかでした。

その点で考えると、入れ歯は自分の歯に比べ3割ほどの力しか発揮できないと言われています。

50代の男性の方で今後の生活を考えた場合、金額の差はあっても、不自由なく食べれることを重視しインプラントを選択されました。

 

左下2本、右下1本インプラントの手術を行い、土台が入った状態です。

ここに仮歯を装着します。

仮歯の状態で噛み合わせに問題が出ないか、汚れが溜まりやすくないかなどを経過観察していきます。

問題があれば修正し、安定したところでその形を参考に最終的な被せ物に変更していきます。

 

左右にセラミックの被せ物を装着した後の写真です。

審美的にも機能的にも問題なく大変喜んでいただけました。

 

治療前後で比較します。

自分の歯と同じように噛むこともでき、周りの歯と同じように歯磨きを行うことで健康な状態を維持していくことが可能です。

インプラントも他の治療と同じで治療が終わったら終わりではなく、その状態を維持するために定期的な健診と歯科医院でのクリーニングが必要です。

アズ歯科桶川院には、口腔外科専門医が複数在籍しており、他院では難しいと言われたケースにも対応可能です。

お気軽にご相談ください。

治療期間 5ヶ月
治療費  ¥1200,000+ tax
治療のリスク インプラントが歯周病になる可能性がある

 

AS DENTAL CLINIC.
日本歯科医療評価機構

患者様満足度アンケートにご協力ください。

患者様により良い歯科医療を提供するため、
第三者機関に依頼して
満足度調査を行っています。
当院には患者様の個人情報は
一切伝えられません。
是非、たくさんのお言葉をお寄せ下さい。

また、当院では皆様から頂いたご意見をもとに、スタッフ全員で医院をよりよくしていく取り組みを実施しています。
当院について、お気づきになられた点などがございましたら、何でもお気軽にご意見をお寄せください。