ホワイトスポットは削らずに治せます
歯の白斑、白濁(ホワイトスポット)が気になりますか?
むし歯ではないのですが、
前歯なんかは目立ちますし、気になりますよね。
そもそも白濁とは何なのか。
初期むし歯で生じることもあるのですが、
前歯の目立つところの白濁は、
ほとんどがエナメル質形成不全とよばれる状態です。
歯の表面のエナメル質が正常に作られなかったため結晶構造が変化し、光の散乱が起こるため白く濁ったように見えるのです。

こちらの患者さんは、
前歯のホワイトスポットが気になる、治したいというご希望がありました。

この赤マルで囲った部分にホワイトスポットを認めます。
痛みはなく、審美的な改善をご希望されておりました。
ホワイトスポットの治療法として、
ホワイトニングも一つの選択肢となります。

ホワイトニングを行い、ホワイトスポット以外の歯の明度を上げることで目立たなくするものです。
また、コンポジットレジン修復という方法もあります。
ホワイトスポットの部分を削って白い材料を用いて穴を埋めます。

深い白斑や、帯状のホワイトバンドと呼ばれる状態でも対応可能ですが、歯を切削する必要があります。
そして、今回ご紹介したい治療法が、
Icon®️(アイコン)という材料を用いるものです。

もともとは、むし歯の進行を予防するシーラント材として開発されました。
現在ではむし歯予防よりも、審美的な治療に用いるニーズが高くなってきている製品です。
実際の治療を見てみましょう。

先ほどのホワイトスポットがある歯にラバーダムというゴムのシートをかけて、
処置部位に唾液がついたり、口腔内に材料がかかるのを防ぎます。

エッチング処理を施します。
青く見えるのがエッチング材です。
むし歯治療で詰め物をする時にもよく使用されるものです。

エッチング材を水で洗い流します。
歯の表面を酸処理することで、エナメル質に材料が入り込むようになります。
ここから低粘度のレジンを塗布します。

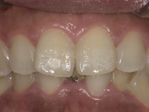
処置後の写真です。
ホワイトスポットが見えなくなりました。
治療の前後を見比べてみましょう。
治療前

治療後

Icon®️を用いることで、歯を削らずにホワイトスポットを消すことができました。
歯を削らないため、痛みもありません。
ホワイトスポットの深さや範囲によってIcon®️が適さない場合もあるため、
すべての方におすすめできるわけではありませんが、
気になる方はぜひ一度ご相談ください。
| 治療期間 | 1日 |
|---|---|
| 治療費 | ¥22,000(税込) |
| 治療のリスク | ホワイトスポットが消えない可能性がある |











