新しい入れ歯を作ると若返りができる?
高齢のご家族で入れ歯が合わなくなってきている方はいませんか?
「残りの歯も少なくなってきて食事がとりづらいけど、通院するのが大変で」
「部分入れ歯を使うのが億劫になってきて、最近は入れ歯を使ってない」
といったお悩みはよく聞きます。

失った歯の本数が多くなってくると、咀嚼効率がわるくなります。
すると食べ物をよく噛まないまま丸呑みするような形になってしまい、
消化不良を起こして、胃腸の障害から栄養の吸収阻害を招き、やがて全身の健康状態にも影響してきます。

「入れ歯を作ったほうがいいのかもしれないけど大変そうだなぁ」
と思っている方がいたら教えてあげてください。
差し歯や被せ物と比べて、入れ歯治療は案外すぐに済みます。

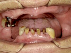
虫歯や歯周病で多くの歯を失った患者さんがいらっしゃいました。
残っているのは、下の前歯と、上の奥歯だけです。

今も部分入れ歯を使っているけど噛みづらいから作り直したい、とのことでした。
80代で高齢の方ということもあり、残りの歯の虫歯治療をしたり、抜歯をしたりといった治療のために何度も通院するのが大変そうな印象でした。

入れ歯がすり減って歯が短くなってしまっているため、
口を閉じると唇にシワがよってしまい、
多くの歯を失ってしまった方の特徴的な口元になります。

幸い、残りの歯に症状はなく、周囲の骨に炎症がひろがっている状態でもないため、
ひとまず新しい入れ歯を作ってしっかり食事をとれるようにすることを優先して治療を進めることにしました。
↓

治療後、新しい入れ歯が入った状態です。
抜歯はしておらず、残りの歯を短くして、その上から総入れ歯をはめています。
なので、
入れ歯を作るための型取り→噛み合わせの検査→人工歯をならべて確認する→完成
という治療の流れで計4回で治療は済みました。
治療前

治療後

本来の歯の長さの入れ歯をはめただけで、口元も若返りました。
今までと口の環境が変わることで、
治療直後は話しづらかったり、食べづらかったりすることもありますが、
歯の形が回復したことで見た目だけでなく、次第に機能面でも改善がみられてきます。
いかがでしょうか。
総入れ歯にするかお悩みの方が、この記事をお読みになる機会は少ないのではないかと思います。
もし、ご家族や知人の方で入れ歯を作った方がいいんじゃないかという方がいたら教えてあげてください。
入れ歯を作るのはそんなに大変ではありません。
まずは一度お口の状態を見せてください。
新しい入れ歯を作ればよく噛めるようになって、
ご飯がもっと美味しく食べられるようになるかもしれません。
桶川市で歯科医院をお探しの方は、アズ歯科桶川院までお越しください。
| 治療期間 | 1ヶ月 |
|---|---|
| 治療費 | 保険診療 |
| 治療のリスク | 治療後に義歯を使用して痛いところがあれば調整が必要になる |











