ワイヤー矯正治療が終了しました
歯並びの相談で来院された方の矯正治療が終了しました。
初診時の写真です。



上の前歯が大きく少し前に出ているように見られる事、また下の前歯の歯並びが気になるとの事です。
また、右上の奥歯を神経の治療をしており、その歯の状態が悪いため抜歯を他院で勧められていたそうです。
そこも含めての治療相談を希望されました。
まず、歯並びを治すには矯正治療が必要になります。
今回は右上の奥歯の予後も考慮しながら計画を立てていきます。
下の歯並びを治すだけであれば、マウスピースなどの部分矯正でも対応可能と判断しました。
しかし、今回は上の前歯の見え方、右上の奥歯のことも含めての計画のため、抜歯し前歯を引っ込めることにより口元がすっきり見えるように計画しました。
抜歯を含んだ矯正治療の場合、一般的には前歯を引っ込めやすいように前歯寄りの歯を抜くことが多いです。
右上の奥歯の状態が悪く矯正後にその歯に大きな問題が出てしまい抜歯となると、せっかく綺麗に終了してもその部分の治療が再度必要になってしまいます。
そのため、今回は患者さんと相談し奥歯の抜歯によるワイヤー矯正で対応することになりました。
まず、下顎から矯正をスタートします。


ワイヤーが大きく歪んでいるのがわかると思います。
上下の噛み合わせを考慮し、下の歯の抜歯もしています。
ワイヤーのサイズを上げ、前歯を揃えるのと後ろに少し引いていきます。


ワイヤーが真っ直ぐになってきています。
抜いたスペースも少しずつ閉じてきています。
ここから上顎にも装置をつけていきます。


まず左上のみ抜歯し、ある程度歯が並んだタイミングで右上を抜歯します。

ワイヤーのサイズを上げながら、前歯を引いていきます。



スペースを閉じながらワイヤーを調整し、歯に細かい力を加えていきます。
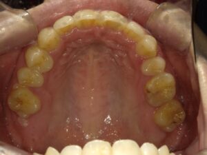
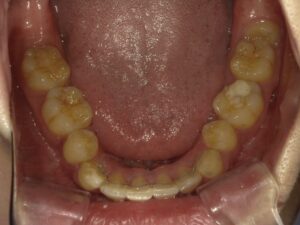
矯正治療が終了しました。




右上の抜いた大きな歯のスペースもしっかり閉じることができ、前歯も綺麗に並んでいると思います。
口元の印象も大きく変わったと、患者さんに喜んでいただけました。
一般に矯正治療といっても
①ワイヤー矯正
全顎矯正 表側矯正 or 裏側矯正
部分矯正
②マウスピース矯正
全顎矯正
部分矯正
上記のようにいろいろな方法に分かれます。
この中からどの方法を選ぶかは矯正の検査結果と患者さんがどういうゴールを目指しているのかが重要になってきます。
ただ歯並びを綺麗にしたいのか、口元の印象を変えたいのか、どれくらいの金額で考えているかなど、最初の時点でしっかりとカウンセリングを行い、治療のゴール、期間、金額を共有した上で治療をスタートします。
全顎矯正であれば治療期間もかかるため、患者さんのモチベーションも大切になりますし、虫歯ができないようにしっかりとメンテナンスをしていく必要もあります。
アズ歯科桶川院では、矯正医、一般歯科医、口腔外科医、衛生士で連携をしながら矯正治療にあたっています。
お気軽にご相談ください。
| 治療期間 | 2年半 |
|---|---|
| 治療費 | ¥900,000 + tax |
| 治療のリスク | 治療後に歯が後戻りする可能性がある |











