【子ども】前歯が痛いと言ったら
子どもが「前歯が痛い」と言ったらドキッとしますよね。
もしかして虫歯かな、と思うでしょう。
でも、虫歯で乳歯の前歯が痛くなることはそんなに多くないのです。
今日はそんなお話です。

5歳のお子さんです。
前歯が痛いとのことで受診されました。

触ってみるとグラグラしているので、永久歯への生えかわりの可能性が高いことを説明しました。
生えてくる永久歯の位置を確認するためにレントゲン写真を撮ります。

乳歯が短くなっているのがわかりますか?
左右同じくらいのタイミングで抜けそうです。

元は乳歯もしっかり歯根があるのですが、
生えかわる永久歯が歯根を吸収しながら近づいてくるので、
歯根が短くなるにつれてグラグラしてくるのです。

グラグラしていて痛いからご飯が食べられないという状態なら、
すぐに歯科医院で抜歯することになります。
生えかわり間近の乳歯なら麻酔なしで約1秒で抜けます。
そうは言っても抜くのはこわいというお子さんが多いので、
その場合は様子を見ます。
自然に抜けて永久歯が生えてくるのであれば問題はありません。
このお子さんは様子を見ることになりました。
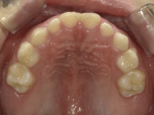
その半年後の写真を見てみましょう。

上下の前歯が生えかわっていますね。
歯がピンク色に見えるのは、検診の内容で磨き残しを染め出しているからです。

大人の歯が見えてきています。
この後もっと生えてくるので心配せず様子を見ましょう。
抜ける前

抜けた後

生えかわった後のほうの写真では前歯の幅が大きくなっているのがわかりますか?
顎が成長して大きくなっているからです。
乳歯よりも永久歯のほうが大きいので、
生えてくるスペースが足りないと真っ直ぐ生えてこれません。
状況によっては歯科矯正治療でそのスペースを準備してあげる必要があります。
定期検診では虫歯の有無だけでなく、生えかわりが順調に進んでいるか確認しています。
気になる方はぜひ一度ご相談ください。
桶川市でお子様の歯科医院をお探しの方は、アズ歯科桶川院へお越しください。
| 治療期間 | 6ヶ月 |
|---|---|
| 治療費 | 保険診療 |
| 治療のリスク | 定期的に状況を確認する必要がある |











