パウダーでクリーニングしたことありますか?
桶川にある歯医者、アズ歯科桶川院の歯科医師、中村です。
プラーク(歯垢)という言葉を聞いたことはありますか?
食べ物の残りカスが歯の表面につき、細菌が繁殖したもので、白くネバネバしています。
食後8時間程度でプラークができるといわれ、プラーク1mgのなかには約300種類1億個もの細菌が存在しています。
プラークは口臭の原因になります。
プラークに含まれる細菌が、硫化水素(温泉のガスのような臭い)やメチルメルカプタンといった臭いの強いガスを作ります。
また虫歯やその周囲の食べカス、歯周病が進行したときに歯周ポケットから出る膿みも嫌な臭いを発するため、口臭の原因となると考えられています。

口の中にプラークをなるべく残さないためには、毎日の歯磨きが重要です。
プラークには粘着力があり、水に溶けないので、うがいではとることができません。
歯ブラシでブラッシングするのが基本ですが、歯と歯の間の汚れは歯ブラシでは半分程度にしか落とすことができません。
デンタルフロス(糸ようじ)や歯間ブラシという専用ブラシで磨くことが必要です。

不十分な歯磨きのため、プラークが長期間、歯の表面についているとき、唾液に含まれるカルシウムやリン酸がプラークに沈着して(石灰化)、石のように硬くなったものが歯石です。
プラークは、およそ2週間で歯石となります。
歯石の除去には、そのもととなるプラークをつかなくするための毎日のブラッシングが肝心ですが、少しでも取り残すとそこから増えますので、正しい歯磨きでプラークを完全にとることが必要です。
しかし、お口の中から100%完全にプラークをなくすことは困難で、数か月程度でたいていの方には歯石が沈着してきますので、歯科医院で定期的に歯石除去(スケーリング)することが効果的です。

その歯科医院で行われる専門家による徹底した歯面清掃をPMTC(Professional Mechanical Tooth Cleaning)といいます。
専用の機器とフッ化物入り研磨剤を使用して、歯みがきで落とせない歯石や磨き残したプラークを中心に全ての歯面の清掃と研磨を行い、う蝕や歯周病になりにくい環境を整えます。
実際の治療を見てみましょう。

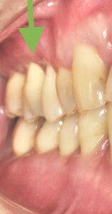
クリーニング希望で来院された患者さんです。
ほとんどの歯に歯石が沈着しているのがわかります。

前歯では歯石付近の歯ぐきの腫れが顕著です。
このように、歯ぐきに炎症を引き起こしていると、歯磨きの時に出血がみられます。
しかし、出血したから歯磨きを止めてしまうと、原因となっている歯石が残っているため、歯ぐきの炎症は治りません。
そこで、歯科医院での専門的な歯面清掃であるPMTCの出番です。
実際の治療を見てみましょう。
このクリーニングの様子は別の患者さんのものですが、治療の内容は同じです。
「歯石を取るのは痛そう」
「血が出るし、こわいなぁ」
という声を以前はよく耳にしましたが、
最近のクリーニング機器は音も小さく、
歯医者特有の臭いもないため、ストレスなく治療を受けていただけると思います。

実際にはこのような機器を用いて、

先端のこのノズルから“フラッシュパール”とよばれる平均54μmの細かいパウダーを吹きつけて、スピーディーにプラークやステインを落とします。

PMTCを行った後、一週間後の写真です。
表面に付いていた歯石がキレイに落ちており、周囲の歯ぐきの腫れが改善しています。
治療の前後を見比べてみましょう。
治療前
治療後
治療後に黒く見えている部分は虫歯なので、今後は虫歯の治療も行います。
治療前
治療後
前歯の歯ぐきの腫れが引きました。
治療前
治療後
奥歯も歯ぐきの腫れが引いたことがわかります。
一回のクリーニングでここまで改善しました。
歯ぐきの中に潜んでいる歯石もあるため、引き続き歯周病の治療は必要になりますが、
見た目がキレイになったこともあり、
患者さんのモチベーションも高まって、楽しく治療を継続できています。
「歯の表面に着色があって取りたいけど、治療が大変そうだし、どうしようかなぁ」
とお悩みの方は、ぜひ一度最新のクリーニングを受けにアズ歯科桶川院までお越しください。
白くてキレイな歯を取り戻しましょう。
| 治療期間 | 1ヶ月 |
|---|---|
| 治療費 | 保険診療 |
| 治療のリスク | 定期的なメンテナンスをしなければ元に戻ってしまう |











