歯が折れてしまうとは?
「前の歯医者さんで根管治療を続けているけど、なかなかよくならなくて」
というお悩みで来院されました。

奥歯にセメントが詰まっています。
レントゲンを撮って見てみましょう

矢印のところに注目してください。
根管治療をしている歯の根の先っちょのところが黒くなっていますね。
病巣です。
根管内の感染源が骨の中まで広がり、炎症を起こしているのです。

病巣の範囲を詳しく調べるために歯科用コーンビームCT検査をしました。
骨の中に透過像と呼ばれる黒い影を確認できます。

別の角度から見ています。
じつはこの時点で、炎症が骨の中の下歯槽管と呼ばれる神経や血管が入った大事な部分のすぐ近くまでおよんでいることがわかりました。
ここまで炎症が波及すると、最悪の場合、唇にしびれや痛みが出てくることもあるのです。
炎症を治すために、当院で根管治療を開始します。

白いセメントをとってみました。

のぞいてみると、中に感染源と思われるブヨブヨしたものが見えます。
これらをすべて取り除き洗浄したのち、代わりにキレイな詰め物で根管と呼ばれるこの穴を塞ぎます。

根管充填後のレントゲン写真です。
白く見える部分が当院で詰めたセメントです。
この時点ではまだ根の先っちょの黒い透過像、すなわち炎症により溶けてしまった骨はできてきてません。
ここから数ヶ月待ち、炎症が治ってくるか経過を見てみます。
半年後の歯科用コーンビームCT検査の写真です

いかがでしょうか。
根の先っちょの黒い影が消えました。
炎症が治り、再び骨が回復したのです。
術前術後で見比べてみましょう。
術前


術後


根の先っちょの炎症、根尖病巣はすっかり良くなりました。
これで一安心かと思われましたが、、、

矢印のところを見てください。
新たに別の部位に炎症と思われる骨の吸収を認めました。

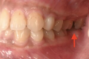
噛み合わせを見ています。
矢印の部分です。
根管治療後の歯は失活歯(しっかつし)といって歯髄がないため歯が脆くなります。
噛む力で歯が折れてしまい亀裂(クラック)が入ると、先ほどのようなレントゲンの炎症像がひろがるのです。
残念ながらこうなると炎症をおさえることはできず、骨がどんどん吸収していくので、歯周組織(歯ぐきや骨)を守るために治療として抜歯が必要になります。

抜歯後の歯を見ています。
赤く見えるのは歯根膜といって歯根と骨をつなぐ大事な組織です。
これが右側にはないことがわかります。

抜歯した穴を見ています。
骨が見えていますが、一部は溶けてブヨブヨした炎症組織になっています。
これがレントゲンで黒く見えていた部分です。
歯が原因で炎症が起きていたので、抜歯をすれば自然に治ります。

あらためて抜いた歯を確認してみましょう。

先ほどお話しした歯根膜がなくなっている部分をよく見てみると、
この中央のあたりから、

こちら側までのびて、

ここまで亀裂が入っていることがわかりました。
このように折れているところに炎症が起きることで、
歯根膜がなくなり、骨が溶けていくのです。
いわゆる歯周病が進んでしまい、この歯の周りの歯ぐきが腫れてきて、
噛むと痛みがあったり、次第に歯がグラグラしてくるようになります。
炎症がひろがれば隣の歯に影響がでてくることもあります。
この亀裂に気づかずに歯周病が進行することは避けたいものです。
そのためには、定期的な検診、そして必要があればCTなどの精密な検査、診断が必要です。
気になる方は一度アズ歯科桶川院までご相談ください。
| 治療期間 | 8ヶ月 |
|---|---|
| 治療費 | 保険診療 |
| 治療のリスク | 歯根が破折する可能性がある |











