銀歯が気になりませんか?
今回のケースは当院でホワイトニングを行なった患者さんからの相談です。

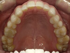
とても綺麗な色で口元が明るい印象があります。
自宅で行うホームホワイトニングと医院で行うオフィスホワイトニングの両方を行うデュアルホワイトニングを選択していただきました。
ホワイトニング自体とても満足していただき、処置後も定期的にホワイトニングを行い色を維持されています。
そして、色が白くなったことで奥歯の銀歯が気になるとのことです。
実際に見てみると、かなり昔に治療した銀歯が奥に残っています。


笑ったり、口を開けたりすると見えるのがどんどん気になってきたため、白くしたいと相談に来院されました。
また、銀歯自体がかなり古く、中で虫歯になってないか心配とのことです。
審美的な改善にもなりますが、銀歯の劣化による虫歯の可能性もあったため、やり直しの治療を行うことになりました。
銀歯の金属を白く治す場合、治療方法
1.保険診療
銀歯が大きい場合
被せてある歯の形を再現するため、型取りを行いハイブリッドレジンと呼ばれるプラスチックに近い材質で修復します。
メリット
- 金額が安価(¥3,000-5,000程度)
- 形を綺麗に作ることができる
- 欠けてしまう可能性がある
- 材料の厚みをとるため、多めに歯を削る必要がある
- 型取りをするため、最低2回の来院が必要になる
-
銀歯が小さい場合
銀歯を外し、口の中で直接レジンと呼ばれる材料で埋めていきます。
メリット
- 金額が安価(¥1,000程度)
- 型取り不要のため、1回の治療で終わる
-
デメリット
- 欠けてしまう可能性がある
- 形の再現が難しく、噛み合わせが不十分になってしまう可能性がある
-
2.保険外診療
銀歯を外し、セラミックを用いて形の修復を行います。
メリット
- 保険外専用の型取り剤を使用するため、精度が上がる
- 審美的である
- セラミックは汚れがつきにくいため、虫歯のリスクが減る
-
デメリット
- 金額がかかる
- 型取りが必要なため最低2回の来院が必要になる
- 以上のことを説明し、材質を検討してもらいました。
今回は銀歯の大きさから判断して保険内のレジンでの修復とセラミックを用いた修復で対応することになりました。
処置後の写真です


金属がなくなり、とても若々しい印象の口腔内になりました。
治療前後の比較




場所によって保険の診療で対応したため、金額もあまり大きくならずとても満足していただけました。
ただ、銀歯を白くするとなっても材質や治療方法にも種類があります。
単純にセラミックだからといって、どの歯にも最適なわけではありません。
そのため、せっかく綺麗にしたのに割れてしまったり、取れてしまったりなどの理由でやり直しにならないよう、メリット、デメリット、リスクをしっかり説明してくれる医院での治療をお勧めします。
今回のケースとても若く見えますが、実は60代の患者さんです。
日頃から歯の手入れをしっかり行い、口の中に対しての意識も高く、とても良い口腔内環境を維持されています。
ぜひ多くの方にこういった口腔内環境を目指してもらいたいと思います。
桶川市で歯科医院をお探しの方は、アズ歯科桶川院までお越しください。
治療期間 1ヶ月 治療費 ¥55,000 + tax 保険診療 治療のリスク 詰めたものが欠ける可能性がある











