金属アレルギーが疑われたら

桶川の歯医者|アズ歯科 桶川院
2022.01.29

金属アレルギーが疑われたら

虫歯治療で詰め物をするときに、金属を使うことがあります。

代表的なのは、保険治療で使われるパラジウム合金です。

ただし、その金属が体質によってはアレルギーを引き起こす原因になってしまうことがあります。

 

金属から溶け出したイオンが体内に吸収されることで起きるもので、

口内炎や舌炎などの口腔内の症状をはじめ、手足などの皮膚に炎症が起きることもあります。

金属アレルギーが疑われる場合、原因となっている金属を特定しなければいけません。

パッチテストという検査を行い、原因となっている金属を特定できたら、

その金属を口腔内から取り除き、様子をみます。

 

経過観察していく中で、症状の改善が確認できたら、

生体親和性の良い安全な素材で修復します。

 

今日はそのような治療を行ったケースをお見せします。

 

この方は、前述のパッチテストを行い、

特定の金属に対してアレルギーがあることがわかり、来院されました。

 

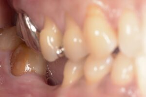
以前の治療で奥歯に金属が被せられています。

保険治療でパラジウム合金の被せ物をした経緯がわかりました。

 

下の奥歯には1箇所、歯がない部分もあります。

もちろん、今回の治療ではその部分も金属を使用せずに治す必要があります。

 

一箇所ずつ金属を除去して虫歯治療を行い、

安全な素材であるセラミックで修復していきます。

 

治療後の写真です。

奥歯に新しい白い被せ物が入っているのが見えます。

 

奥歯に金属は使用していません。

この白い被せ物はジルコニアという優れた強度をもつセラミックであり、

奥歯にも安心して使用することができます。

 

ジルコニアは強度に優れているため、ブリッジとしても使用可能です。

下の欠損していた奥歯もジルコニアブリッジで治すことができました。

 

もちろん現在はアレルギー症状もなく、

歯の治療も終わったことでしっかりお食事をとることができています。

 

このように、以前金属で治している箇所がたくさんあり、

金属アレルギーの既往がある方は、一度アズ歯科桶川院へご相談ください。

見た目も白く、キレイになりますよ。

 

治療期間 2ヶ月
治療費  ¥80,000+ tax
治療のリスク セラミックがかけてしまう可能性がある

 

 

 

 

AS DENTAL CLINIC.
日本歯科医療評価機構

患者様満足度アンケートにご協力ください。

患者様により良い歯科医療を提供するため、
第三者機関に依頼して
満足度調査を行っています。
当院には患者様の個人情報は
一切伝えられません。
是非、たくさんのお言葉をお寄せ下さい。

また、当院では皆様から頂いたご意見をもとに、スタッフ全員で医院をよりよくしていく取り組みを実施しています。
当院について、お気づきになられた点などがございましたら、何でもお気軽にご意見をお寄せください。