歯周病治療
主訴:歯茎から血がでる
歯磨きすると痛みはないが、歯茎から出血すると来院されました。
歯科医院は約10年ぶりとのことです。
今まで症状がないため、なかなか行く気にならなかったと話していました。
口の中を確認すると全体的に汚れと歯石が付着し、歯茎に強い炎症がある状態です。
歯茎の検査を行い、歯周病と診断しました。
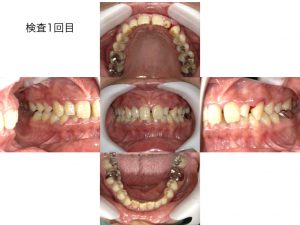
初診時の写真です。


歯茎の中に歯石が確認できます。

歯茎に触れていない状態でも出血しています。
検査結果と写真を用いて現在の状態を説明し、歯周病治療が必要な事を説明しました。
歯周病治療の流れとして、まず歯の表面の汚れ、歯石をとります。
それと同時並行で歯磨き指導も行っていきます。
歯周病治療では特に患者さんの協力が必要になってきます。
医院でのお掃除も重要ですが、日々の歯ブラシが不十分だとすぐに歯石ができてしまうからです。
表面の歯石とりが終わり、2回目の歯茎の検査を行います。



歯茎の腫れ、出血が減り、歯茎の色が変わってきているのがわかると思います。
歯ブラシの状態も改善し、歯間ブラシを使用するのも習慣化してきました。
しかし、所々歯茎の中に歯石があり、歯茎に赤く炎症が残っている部分があります。
そこでここから歯茎の中に隠れている歯石を除去していきます。



全体の歯周病治療が終了した状態です。
歯茎が全体的に引き締まり、赤い部分もなくなっているのが確認できます。
ここからは再発しないよう定期的な医院でのメンテナンスに移行します。
歯周病は汚れ、歯石などにより歯を支える骨が溶けてしまう病気です。
一度感染し溶けてしまった骨はなかなか再生しません。
再度感染するリスクも高い病気のため、そうならないよう医院でのメンテナンスと患者様ご自身での歯磨きなどのセルフケアがとても大切です。
ぜひ、アズ歯科桶川院でサポートさせていただければ幸いです。



| 治療期間 | 3ヶ月 |
|---|---|
| 治療費 | 保険診療 |
| 治療のリスク | 歯周病が再発する可能性がある |











