前歯が出ているのが気になるなら

桶川の歯医者|アズ歯科 桶川院
2026.04.07

前歯が出ているのが気になるなら

抜歯とスクリューを活用した本格ワイヤー矯正で、口元の印象が大きく変わった症例をご紹介します


はじめに

「上の前歯が出ていて、口元が気になる…」

「下の歯がガタガタしていて、笑うときについ手で隠してしまう…」

こんなお悩みをお持ちの方、じつは少なくないんです。

歯並びが気になっていても、「矯正って何年もかかるんでしょ?」「抜歯が必要って聞くと怖い…」と、なかなか一歩を踏み出せない方も多いのではないでしょうか。

今回は、上の前歯の突出と下の前歯のがたつきを主訴に来院された患者さんの、ワイヤー矯正の治療経過をご紹介します。


治療前の状態

まずは治療前のお口の中の写真です。

 

治療前・正面の写真

前方から見ると、上の前歯が前に出ているのが分かりますね。いわゆる「出っ歯」の状態です。それにより下の前歯が隠れてしまっている状態です。

 

治療前・左側の写真

 

治療前・右側の写真

横から見ると、上下の前歯の位置関係がよりはっきりと分かります。上の前歯がかなり前方に出ていますね。

 

治療前・下顎の写真

下の歯並びを見ると、前歯にがたつき(叢生)があるのが確認できます。歯が重なり合って並んでいる状態ですね。

 

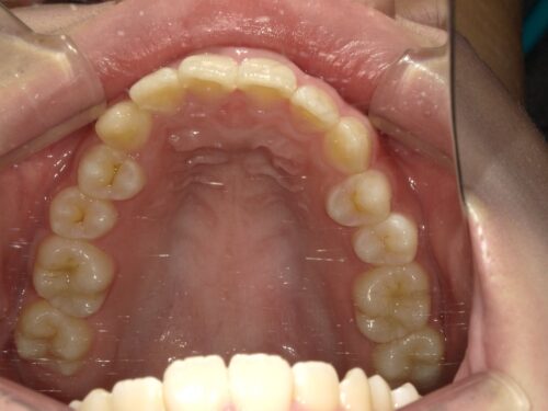
治療前・上顎の写真

上の歯並びも確認していきます。これから治療を進めていくにあたって、この状態がスタート地点になります。


治療方針について

今回のケースでは、前歯をしっかり後ろに下げる必要がありました。

そのためには、歯を動かすスペースを確保しなければなりません。相談の結果、上の前から4番目の歯を抜歯して、スペースを作る方針になりました。

また、矯正の方法としては、マウスピース矯正とワイヤー矯正がありますが、今回のように前歯をしっかり下げたいケースでは、ワイヤー矯正のほうが向いていると考えます。

さらに、前歯を確実に後方へ引っ張るために、**上顎にスクリュー(矯正用のアンカースクリュー)**を使用しました。スクリューとは、小さなネジのような装置を骨に一時的に埋め込んで、歯を動かす際の固定源にするものです。これにより、効率よく前歯を後ろに引くことができます。


ワイヤー装着の様子

いよいよ矯正装置をつけていきます。

まずは上顎から装置をつけて行きます。

 

ワイヤー装着後・正面の写真

正面から見た、ワイヤーを装着した状態です。ここからいよいよ歯が動き始めます。

 

ワイヤー装着後・左側の写真

 

ワイヤー装着後・右側の写真

左右それぞれの側面です。ブラケットにワイヤーが通っているのが見えますね。

 

ワイヤー装着後・上顎の写真

上顎に装置とスクリューが装着された状態

上の前から4番目の歯を抜歯し、上顎に入れたスクリューとワイヤーを繋いで、前歯を後ろに引っ張っていきます。これが今回の治療のポイントになります。

 


治療中の経過

治療が進んでくると、少しずつ変化が見えてきます。

 

治療中・正面の写真

正面から見て、前歯の位置が変わり始めているのが分かりますね。

 

治療中・左側の写真

 

治療中・右側の写真

左右からも確認すると、上の前歯が少しずつ後方に下がってきているのが見えます。

 

治療中・上顎の写真

抜いたスペースが少なくなってきているのがわかると思います。

 

治療中・下顎の写真

前歯のがたつきはほぼ改善されています。

この段階では、上の歯は抜歯済みで後方に動かしながら、下顎にも装置が装着されました。上下同時に歯並びを整えていきます。


治療後の状態

そして、約2年の治療を経た結果がこちらです。

 

治療後・正面の写真

パッと見た時の印象が違いますよね。前歯の出っ張りが改善され、歯並びがきれいに整っています。

 

治療後・左側の写真

 

治療後・右側の写真

横から見ても、上下の前歯の位置関係がしっかり改善されているのが分かります。治療前と比べると、口元の印象がかなり変わりましたね。

 

治療後・上顎の写真

上顎の歯並びも、抜歯したスペースがきれいに閉じて、整った歯列になっています。

治療後・下顎の写真

下顎のがたつきもしっかり改善されていますね。治療前にあった歯の重なりがなくなり、きれいなアーチ状に並んでいます。


よくある質問

Q. ワイヤー矯正は痛いですか?

A. ワイヤーを調整した後、2〜3日程度は歯が動く際の痛みを感じることがあります。ただ、多くの方が徐々に慣れていきますし、痛みが強い場合は痛み止めで対応できますので、ご安心ください。

Q. マウスピース矯正ではダメだったのですか?

A. 今回のケースのように、前歯をしっかり後方に下げたい場合は、ワイヤー矯正のほうが向いている場合があります。症状によって最適な方法は異なりますので、どちらが合っているかは診察時にご相談いただければと思います。

Q. 抜歯は必ず必要ですか?

A. すべての矯正治療で抜歯が必要になるわけではありません。ただ、前歯を大きく後ろに下げたい場合は、歯を動かすスペースを確保するために抜歯が必要になることがあります。抜歯の有無は、お口の状態を見て判断していきます。

Q. スクリュー(アンカースクリュー)は痛くないですか?

A. 埋入時は麻酔をしますので、処置中の痛みはほとんどありません。処置後も大きな痛みはなく、日常生活に支障をきたすことはほぼないです。治療が終われば取り外しますので、ご安心ください。

Q. 治療期間はどのくらいかかりますか?

A. 今回のケースでは約2年でした。歯並びの状態や治療の内容によって期間は変わりますが、ワイヤー矯正の場合は1年半〜3年程度が目安になります。


担当歯科医師からのコメント

今回のケースでは、上の前歯の突出と下の前歯のがたつきという、複合的な症状に対してワイヤー矯正で対応しました。

前歯をしっかり後方に下げるためには、抜歯でスペースを確保し、スクリューを固定源として利用することがとても有効です。マウスピース矯正も優れた治療法ですが、大きな歯の移動が必要なケースでは、ワイヤー矯正のほうが確実にコントロールできることが多いんです。

矯正治療は見た目の改善だけでなく、噛み合わせの改善にもつながります。歯並びでお悩みの方は、みなさんが治療法を選択するときの参考にしていただけたらと思います。


治療の詳細

項目 内容
主訴 上の前歯が出ていて口元を下げたい、下の前歯のがたつき
治療内容 ワイヤー矯正(上下)、抜歯、アンカースクリュー使用
治療期間 約2年
治療費 合計 99万円(税別)
・検査 3万円
・治療費 90万円
・保定装置 6万円
治療のリスク 歯の移動に伴う痛みや違和感、後戻りの可能性、装置の接触による口内炎などができる可能性。

 

 


最後に

いかがでしたか?

「前歯が出ている」「歯並びがガタガタ」というお悩みは、ワイヤー矯正でしっかり改善できるケースが多いんです。

矯正治療に興味はあるけれど、「自分の場合はどうなんだろう?」と気になっている方は、ぜひ一度アズ歯科桶川院までお気軽にご相談ください。

患者さんお一人おひとりのお口の状態に合わせて、最適な治療法をご提案させていただきます。

AS DENTAL CLINIC.
日本歯科医療評価機構

患者様満足度アンケートにご協力ください。

患者様により良い歯科医療を提供するため、
第三者機関に依頼して
満足度調査を行っています。
当院には患者様の個人情報は
一切伝えられません。
是非、たくさんのお言葉をお寄せ下さい。

また、当院では皆様から頂いたご意見をもとに、スタッフ全員で医院をよりよくしていく取り組みを実施しています。
当院について、お気づきになられた点などがございましたら、何でもお気軽にご意見をお寄せください。