2020.02.09
歯周病治療(口腔内写真)
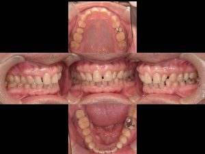
当院では患者様が初めて来院した際、5方向からの写真の撮影を行います。

また、主訴の部分や追加で説明の必要がある部分に関しては、拡大した写真やマイクロスコープでの写真、動画を撮影し説明しています。
歯周病治療が必要な患者様にあたっては治療の前後において、追加で9枚の写真を撮影し、汚れの付着部分や歯茎の状態を記録します。

検診の際にも追加で撮影し保存してあるため、毎回の比較ができます。
また、診察券アプリを利用していただけると毎回撮影した写真をアプリを通して送ることができ、ご自宅でも確認することができます。
アズ歯科桶川院では治療の「見える化」を大切にしています。











