歯の形を変える方法
歯の形が気になるため、形を変えたいという主訴の方は多くいらっしゃいます。
一般的には歯の形を変えるには削って被せ物をしたり、プラスチックの材料を貼り付けて形を修正したりします。
しかし、人工物で修正した場合はその材料の劣化などで再度やり直しになってしまう可能性があります。
また、自分の歯を削ってしまうデメリットもあります。
患者様の状態によっては歯茎の形を修正することで、歯の見え方を変えることができます。
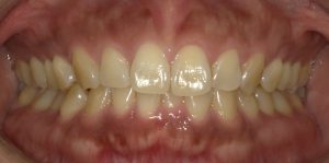
今回、歯の長さが短いことを気にされている患者様がいらっしゃいました。
処置前の写真です。

前歯は全て自分の天然の歯であり、今まで治療も受けていない状態です。
この状態から削ってかぶせることで歯の長さを変えることはできますが、歯へのダメージ、金額などを考慮し、歯茎の形を修正する方法を提案しました。
歯茎の厚み、歯茎の下に存在する骨の状態などを調べ、処置に移行します。
電気メスを使用し、歯茎の形を修正します。
傷の治りを見ながら2回に分けて行いました。
処置後の写真です。

歯茎の形を自然に揃うよう調整しました。
歯の長さも長くなり、見え方も変わり喜んでいただけました。
処置後の痛みもほとんどなく2回の通院で終了することができました。
処置前後で比較します。


歯を削らずに形を変える事ができる場合もあります。
一度削ってしまうと戻す事はできません。
歯の形、色など気になる点があればアズ歯科桶川院にお気軽にご相談ください。
| 治療期間 | 1ヶ月 |
|---|---|
| 治療費 | ¥30,000 + tax |
| 治療のリスク | 歯茎の形が変化してくる場合がある |











