「矯正、早い、安い」と検索している人へ
前歯の反対咬合(上下の噛み合わせが逆になっていること)が気になるというお悩みをお持ちの方は少なくありません。
今日は前歯の歯ならびの治療についてのお話です。

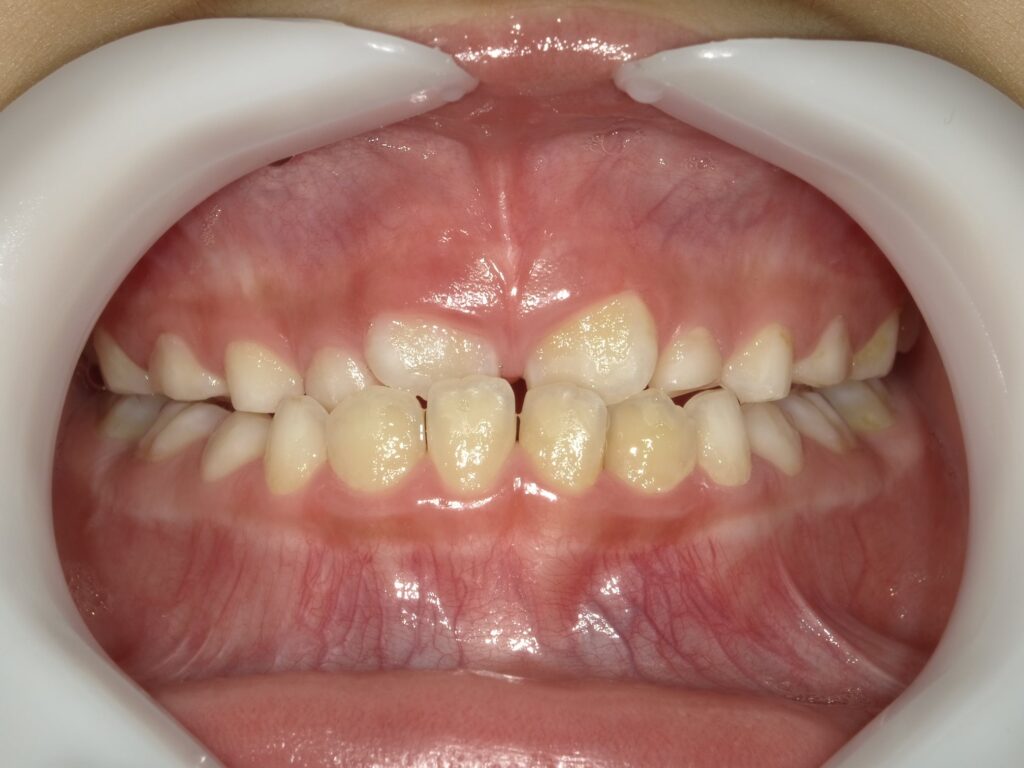
緑の矢印の歯が反対咬合になっています。
これによる影響として、
①歯みがきがしづらく、虫歯になりやすい
②噛む力がよくない方向へ加わり、すり減ったり、グラグラになりやすい
③前歯本来の役割が果たせず、奥歯にも負担をかけてしまう
などが挙げられます。
今回の治療の目的は、

この前歯を矢印の方向に動かし、
本来の役割を果たすことができるようにすることです。
そのために選択した治療方法は、
マウスピース矯正です。

今回の歯を動かす方向、距離から、
ワイヤー矯正よりも治療期間を短縮できるためです。
つまり、早く治療を進めることができます。
また、前歯を動かすことが主な目的なので、
インビザラインGOというシステムを選びました。
これにより、
歯ならび全体を動かす方法よりも治療費をおさえることができます。
治療後の写真です。

治療開始から5ヶ月後の写真です。
矢印の歯が反対咬合だった部分です。
正常な噛み合わせになり、この歯は本来の役割を担うことができています。
また、上下の歯ならびの真ん中がピッタリ合いました。
歯が機能するための理想的な位置にくると、見た目も自然と美しくなります。
治療の前後を見比べてみましょう。
治療前

治療後

いかがでしょうか。
歯を動かす治療が終わった後はその状態をキープするために、
リテーナーという同じくマウスピース型の装置を使う必要があります。
マウスピース矯正のインビザラインGOというシステムは、
・前歯を少しだけ動かしたい
・早く治療を終えたい
というご希望の方に適した治療方法です。
ご興味のある方は一度ご相談ください。
桶川市で、矯正歯科をお探しの方はぜひアズ歯科桶川院までご相談ください。
| 治療期間 | 5ヶ月 |
|---|---|
| 治療費 | ¥450,000 +tax |
| 治療のリスク | 歯が後戻りする可能性がある、適応範囲が限られる |











