セラミック + 矯正

桶川の歯医者|アズ歯科 桶川院
2022.03.24

セラミック + 矯正

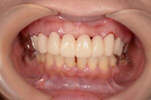
上下前歯の治療相談で来院されました。

1.上の歯茎が下がったことで、隙間ができ食べ物が挟まる。

2.見えている根の部分の色が気になる。

3.下の前歯の隙間が気になる。

上記3つの主訴がありました。

 

1.2に関しては前歯の被せ物のやり替えが必要な事、

3に関しては

①隙間を人工物で埋める

②被せ物で歯の形を変え隙間をなくす

③部分矯正で隙間をとじる

の3つの治療方法があることを説明しました。

 

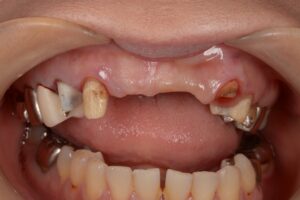
まず上の前歯の被せ物を除去し内部の歯の状況を細かく調べます。

左上の前歯は残っている部分が少なく弱い状況ではありますが、周囲の歯がしっかりしているため仮歯を入れた状態で支えられるかどうか、問題が出ないかどうか、一定期間経過観察を行います。

仮歯を入れた状態です。

 

経過観察を行う期間を利用し、下の前歯は部分矯正で隙間を閉じることになりました。

マウスピース矯正、ワイヤー矯正どちらでも対応可能でしたが、

マウスピースの取り外しなどで手間がかかること、矯正の範囲が狭く歯磨きへの悪影響も少ないため今回はワイヤー矯正を希望されました。

 

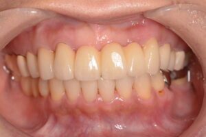
矯正でスペースが閉じました。

 

仮歯にも全く問題は出なかったため、ここから最終的な被せものを作製していきます。

セラミック装着後の写真です。

患者様の年齢を考慮し、白くなりすぎないよう周りの歯の色に合わせて作製してもらいました。

主訴を全て改善でき、大変喜んでいただけました。

処置前後での比較です。

矯正治療、審美治療、精密治療、様々な内容の治療を同時に複合的に行うことも可能です。

アズ歯科桶川院へお気軽にご相談ください。

治療期間 6ヶ月
治療費  ¥1,000,000+ tax
治療のリスク 矯正後に歯が後戻りする可能性がある。

 

AS DENTAL CLINIC.
日本歯科医療評価機構

患者様満足度アンケートにご協力ください。

患者様により良い歯科医療を提供するため、
第三者機関に依頼して
満足度調査を行っています。
当院には患者様の個人情報は
一切伝えられません。
是非、たくさんのお言葉をお寄せ下さい。

また、当院では皆様から頂いたご意見をもとに、スタッフ全員で医院をよりよくしていく取り組みを実施しています。
当院について、お気づきになられた点などがございましたら、何でもお気軽にご意見をお寄せください。